Novedades y Muebles | Varios tipos de noticias y varias reseñas

Fractura En Tallo Verde Radio

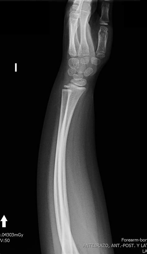
Fractura En Tallo Verde Radio, , , , , , , 0, Fractura en tallo verde. | Radiografia, Fractura, Verde, www.pinterest.com.mx, 1080 x 1920, jpeg, WebUna fractura en tallo verde es una fractura de espesor parcial, que implica una fractura completa de la corteza y el periostio en solo 1 lado del hueso. La. WebLas fracturas en tallo verde, son fracturas incompletas que se dan en un hueso largo de un niño que no ha terminado de crecer. En estos casos, la fractura se., 20, fractura-en-tallo-verde-radio, Novedades y Muebles WebUna fractura en tallo verde es una fractura de espesor parcial, que implica una fractura completa de la corteza y el periostio en solo 1 lado del hueso. La. WebLas fracturas en tallo verde, son fracturas incompletas que se dan en un hueso largo de un niño que no ha terminado de crecer. En estos casos, la fractura se.

Fractura En Tallo Verde Radio

WebLa fractura en tallo verde es una lesión que se suele producir en muchos niños que aún están en pleno crecimiento. Se trata de una fractura o rotura. WebSegún la localización de la fractura tenemos que pueden afectar a la metáfisis, a la diáfisis, al cartílago de crecimiento o a la epífisis (Anexo 1). Las fracturas. WebSe denomina «en tallo verde», ya que la fractura se asemeja a la rotura de una rama viva y «verde», en la que un lado del palo permanece intacto. Presenta un. WebFRACTURAS EN TALLO VERDE: El grosor perióstico y la elasticidad del hueso de los niños hace que en ocasiones la fractura se produzca sólo en el lado de la convexidad. WebFRACTURA EN TALLO VERDE Tratamiento: Consistirá en la reducción del desplazamiento entre los fragmentos. Para ello deberá convertirse la fractura en completa, fracturando la. WebLa fractura en tallo verde de la ulna no se trata y se realiza un ostectomía de... Estabilización de fractura Salter I del radio con dos alambres K en paralelo.

WebEncontramos una fractura en tallo verde en la novena costilla izquierda del padre que concuerda con la trayectoria balística de un arma arrojadiza. Abbiamo trovato una.

WebFRACTURA EN TALLO VERDE Tratamiento: Consistirá en la reducción del desplazamiento entre los fragmentos. Para ello deberá convertirse la fractura en completa, fracturando la. WebLa fractura en tallo verde de la ulna no se trata y se realiza un ostectomía de... Estabilización de fractura Salter I del radio con dos alambres K en paralelo. WebFracturas en rodete o caña de bambú: Estas fracturas se producen con las caídas sobre la palma de la mano. En este caso el hueso se “aplasta” y se ensancha,.

close