Novedades y Muebles | Varios tipos de noticias y varias reseñas
Como Se Pone Una Carilla, , , , , , , 0, Carillas de Resina paso a paso - Dra. Verónica, odverorodriguez.com, 720 x 686, png, WebLas carillas dentales son un tratamiento de estética dental que sirve para corregir defectos en los dientes. En esta animación 3D de Clínica Médico Dental Pa..., 20, como-se-pone-una-carilla, Novedades y Muebles WebLas carillas dentales son un tratamiento de estética dental que sirve para corregir defectos en los dientes. En esta animación 3D de Clínica Médico Dental Pa...
WebPonerse la mascarilla sin cubrir la nariz o no lavarse las manos son algunos de los mayores 'pecados' que se pueden cometer, por mucho que después se salga a la. WebConocer cómo se pone una carilla dental nos permitirá conocer la odontología estética y el gran abanico de soluciones para recuperar la sonrisa. Ir al contenido Odontología.
¿Para qué sirven las carillas dentales? Indicaciones y ventajas | ED
Source: estudidentalbarcelona.com
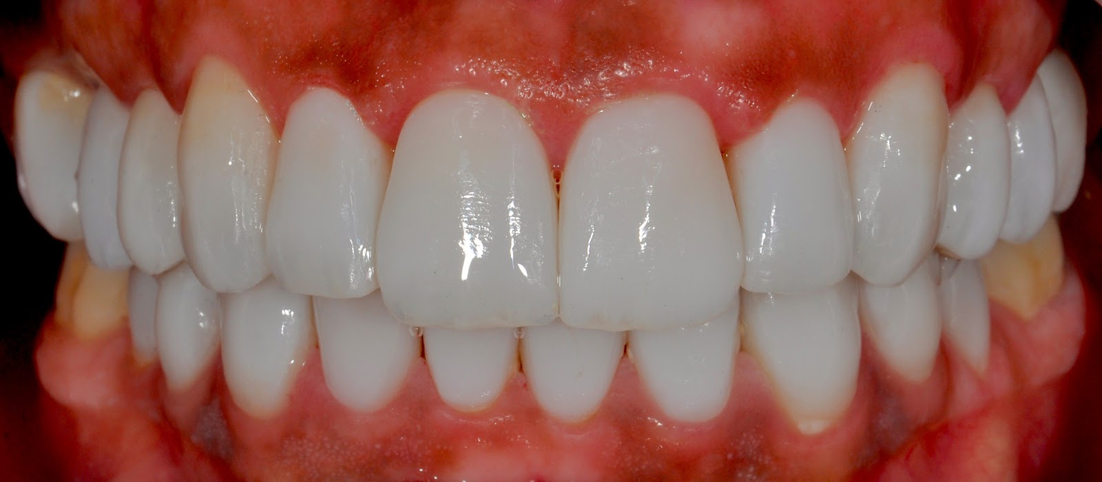
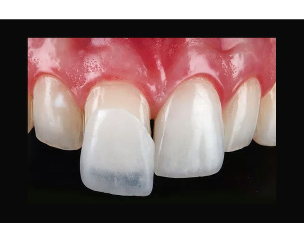
WebUna de las cuestiones más frecuentes sobre el uso de la mascarilla es de qué lado debemos ponerla. Con este vídeo del Dr. Ospina saldrás de dudas. #JuntosSom... WebEL Doctor Sanchez experto en Estética Dental y en Diseño de Sonrisa te explica en este video paso a paso como es el proceso para cementar carillas de porcelana o de. WebPara colocar las carillas de porcelana se prepara primeramente el diente, tallando su superficie lo mínimo y necesario para que se adhieran correctamente las. WebPara ello se preparan las carillas grabándolas con ácido fluorhídrico e imprimándolas con silano. Los dientes también tienen que preparar para la adhesión:. WebPara colocar una carilla sobre el diente, lo primero es preparar la pieza. Cada tipo de carilla requiere un tipo de tratamiento diferente , como veremos más. WebUna carilla dental nunca puede ser extraíble ni reutilizable. Tampoco puede ser una fila de dientes que se coloca como una pieza completa. Las carillas son individuales y se fijan.
WebLos implantes tienden a durar mucho tiempo. Las carillas son relativamente menos costosas que los implantes dentales. Los implantes dentales pueden.
WebPara colocar una carilla sobre el diente, lo primero es preparar la pieza. Cada tipo de carilla requiere un tipo de tratamiento diferente , como veremos más. WebUna carilla dental nunca puede ser extraíble ni reutilizable. Tampoco puede ser una fila de dientes que se coloca como una pieza completa. Las carillas son individuales y se fijan. WebVocê vai curtir: Top 10+ como se pone una carilla dental En Clínica CIRO somos expertos en estética dental y, más concretamente, en carillas dentales. El Dr. David Jiménez.