Novedades y Muebles | Varios tipos de noticias y varias reseñas
Se Pueden Poner Dos Coronas En Un Implante, , , , , , , 0, Implante unitario como soporte de dos coronas: alternativa estética, www.elsevier.es, 1024 x 926, jpeg, WebDescripción. Ponerse una corona dental usualmente toma dos visitas dentales. En la primera visita el dentista: Adormecerá los dientes contiguos y el área de la encía., 20, se-pueden-poner-dos-coronas-en-un-implante, Novedades y Muebles WebDescripción. Ponerse una corona dental usualmente toma dos visitas dentales. En la primera visita el dentista: Adormecerá los dientes contiguos y el área de la encía.
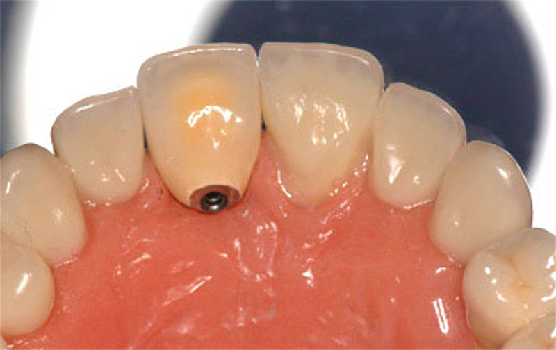
WebLa corona se realiza de forma personalizada, se toman medidas del hueco a reemplazar, las tonalidades de color de los dientes originales y en el laboratorio de prótesis dental se.
Implante unitario / Puente sobre implante - Clínicas Rincón Dental Málaga
Source: www.clinicasrincondental.com
Source: www.medeco.de
WebLa cementación definitiva sobre pilares implantarios no es lo más indicado. Previendo algún problema que nos lleve a la necesidad de tener que descementar la. WebCuando el paciente debe someterse a una cirugía para recibir un implante dental, sobre este se coloca la corona fijada por un tornillo. En otros casos, la corona. WebLas coronas y la mayoría de los puentes son prótesis que se colocan de manera fija. A diferencia de las prótesis removibles, que se pueden remover y limpiar diariamente, las. WebVerifica la forma. Asegúrate de que la forma de la corona permanente sea correcta. Una corona con la forma adecuada hará contacto con los dientes a ambos lados para que la. WebEn un ensayo llamado Com-Cov, reclutaron a 830 voluntarios para probar las dos vacunas autorizadas por el gobierno británico: la de adenovirus de AstraZeneca y la.
WebEl procedimiento de instalación de una corona dental suele hacerse en dos visitas al dentista. En tu primera cita, el dentista examina el diente para asegurarse de que pueda. WebUna corona dental es una funda o cubierta que se coloca sobre un diente y su función es restaurar el diente a su forma, tamaño y función normales. Cuando se coloca una corona.
WebEn un ensayo llamado Com-Cov, reclutaron a 830 voluntarios para probar las dos vacunas autorizadas por el gobierno británico: la de adenovirus de AstraZeneca y la. WebLos implantes dentales se fusionan con el hueso. Sin embargo, carecen de ligamento periodontal, por lo que a la hora de masticar se siente una ligera diferencia.