Novedades y Muebles | Varios tipos de noticias y varias reseñas
Qué Significa Lesiones Hiperintensas En T2 Y Flair, , , , , , , 0, a. Axial T2 FLAIR. Se identifican múltiples lesiones hiperintensas de, www.researchgate.net, 640 x 640, jpeg, WebLas hiperintensidades de la sustancia blanca son lesiones en este tejido cerebral que se han asociado a factores de riesgo cardiovasculares. Estas lesiones se detectan con frecuencia en el cerebro de personas de edad avanzada y se han relacionado con un. WebQué significa «Área de señal hiperintensa en T2 y FLAIR en sustancia blanca anterior a región núcleo-capsular izquierda, que puede representar un área de encefalomalacia».. WebEn la mayoría de los casos, las lesiones hiperintensas son manchas brillantes en las imágenes por resonancia magnética. Son casi invisibles en la superficie, por lo que a., 20, que-significa-lesiones-hiperintensas-en-t2-y-flair, Novedades y Muebles WebLas hiperintensidades de la sustancia blanca son lesiones en este tejido cerebral que se han asociado a factores de riesgo cardiovasculares. Estas lesiones se detectan con frecuencia en el cerebro de personas de edad avanzada y se han relacionado con un. WebQué significa «Área de señal hiperintensa en T2 y FLAIR en sustancia blanca anterior a región núcleo-capsular izquierda, que puede representar un área de encefalomalacia».. WebEn la mayoría de los casos, las lesiones hiperintensas son manchas brillantes en las imágenes por resonancia magnética. Son casi invisibles en la superficie, por lo que a.
WebQue significa imagen puntiforme hiperintensa en T2 y FLAIR en sustancia blanca subcortical frontal superior derecha de 5mm de diametro aislada que sugiere un foco de gliosis. Dr.. WebLas hiperintensidades de la sustancia blanca son lesiones en este tejido cerebral que se han asociado a factores de riesgo cardiovasculares. Estas lesiones se detectan con.
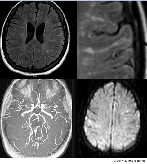
RM T2-FLAIR axial. Lesiones hiperintensas múltiples en sustancia blanca
Source: www.researchgate.net
Secuencias de Resonancia Magnética ponderadas en T2 FLAIR (a) y (b), T2
Source: www.researchgate.net
WebResumen. La presencia de múltiples imágenes puntiformes hiperintensas en la sustancia blanca (IPHSB) en las secuencias de resonancia magnética (RM) ponderadas en T2 es. Webhiperintensidades en t2 y flair puntiformes de la sustancia blanca bihemisferica y confluentes a nivel periventricular, de aspecto inespecifico. Informe de RM quisiera saber si alguien. WebHiperintensidad en secuencias T2 y tamaño como factores pronósticos de obliteración en malformaciones arteriovenosas tratadas mediante radiocirugía. Hyperintensity on T2. WebLas hiperintensidades de la substancia blanca son lesiones en este tejido cerebral que se han asociado a causantes de peligro cardiovasculares. Estas lesiones se advierten. WebUna hiperintensidad o hiperintensidad T2 es un área de alta intensidad en los tipos de imágenes por resonancia magnética (IRM) del cerebro de un ser humano. Webpresentan imágenes hiperintensas en la sustancia blanca, en estudios de resonancia magnética, cuando se observan las secuencias de T2 y FLAIR. No está claro si estas. WebEn la Resonancia Magnética se observan lesiones hiperintensas en secuencias de FLAIR y T2 he hipointensas en T1 localizadas en la sustancia blanca.
WebRealicé una tomografía y una resonancia magnética con y sin contraste, de cuyo resultado surgieron lesiones hiperintensas en T2 y Flair... El doctor me informó que. WebSon múltiples las enfermedades que afectan a la sustancia blanca de forma primaria o secundaria. En esta revisión nos vamos a centrar en las lesiones confluentes que. WebLas hiperintensidades de la sustancia blanca son lesiones en este tejido cerebral que se han asociado a factores de riesgo cardiovasculares. Estas lesiones se.
Webpresentan imágenes hiperintensas en la sustancia blanca, en estudios de resonancia magnética, cuando se observan las secuencias de T2 y FLAIR. No está claro si estas. WebEn la Resonancia Magnética se observan lesiones hiperintensas en secuencias de FLAIR y T2 he hipointensas en T1 localizadas en la sustancia blanca. Webiluminan (hiperintensas) en las técnicas de contrastes T2 y en la secuencia de supresión de líquido cefalorraquídeo, conocida en la literatura como objeto brillante no identificado,.