Novedades y Muebles | Varios tipos de noticias y varias reseñas

Heridas En Las Encías Por Cepillado

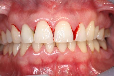
Heridas En Las Encías Por Cepillado, , , , , , , 0, ¿Por qué sangran las encías durante el cepillado? - Rob Dental, www.robdental.com, 850 x 506, jpeg, WebEn el diente, la lesión típica por cepillado es la abrasión, que se define como el desgaste dentario originado por la fricción con un cuerpo extraño (fig. 1). Las causas., 20, heridas-en-las-encias-por-cepillado, Novedades y Muebles WebEn el diente, la lesión típica por cepillado es la abrasión, que se define como el desgaste dentario originado por la fricción con un cuerpo extraño (fig. 1). Las causas.

WebEl sangrado ocasional de las encías puede ser el resultado de una mala técnica de cepillado por lo que no debes cepillarte los dientes con demasiada fuerza..

Heridas En Las Encías Por Cepillado

WebEn este video veremos cómo el cepillado dental incorrecto puede dañar tus dientes y encía si no lo haces correctamente. Suele haber una confusión entre abfra... WebUn cepillado intenso: las encías son un tejido blando, por ese motivo, realizar un cepillado intenso, mucho más con cepillos duros, puede provocar pequeños cortes y. WebOtra causa común de retracción de las encías es el desgaste físico de las encías por el cepillado vigoroso de los dientes o el uso de cerdas duras. El cepillado excesivo provoca. WebUna herida en una encía por lo general se produce después de una extracción dental. Cuidar de esa herida de forma adecuada es muy importante para. WebRevise la zona a diario y manténgala limpia y seca. Evite soplar sobre la herida, ya que esto puede facilitar el crecimiento de gérmenes. Use un protector solar. WebPrevención de Lesiones en las encías Es importante que nuestra encía esté sana para reducir al mínimo las lesiones en ella. Para ello es recomendable utilizar productos.

WebLas principales causas de dolor en las encías son: 1. Mala higiene oral. Los malos hábitos de higiene oral, como la falta de cepillado o un cepillado con mucha fuerza, pueden. WebAdemás de una higiene bucal descuidada, la inflamación de las encías también puede ser causada por cepillarse los dientes con demasiada intensidad. Frotar. WebLa principal causa de la recesión de encías es cepillarse los dientes con excesiva fuerza. Sin embargo, existen otras razones por las que las encías pueden.

WebRevise la zona a diario y manténgala limpia y seca. Evite soplar sobre la herida, ya que esto puede facilitar el crecimiento de gérmenes. Use un protector solar. WebPrevención de Lesiones en las encías Es importante que nuestra encía esté sana para reducir al mínimo las lesiones en ella. Para ello es recomendable utilizar productos. WebEs común que nos hagamos heridas en las encías al comer alimentos duros y/o puntiagudos. También, al usar hilo dental a la rápida o con mucha fuerza, o que nos.

close