Novedades y Muebles | Varios tipos de noticias y varias reseñas

Que Hago Si Tengo Una Carie

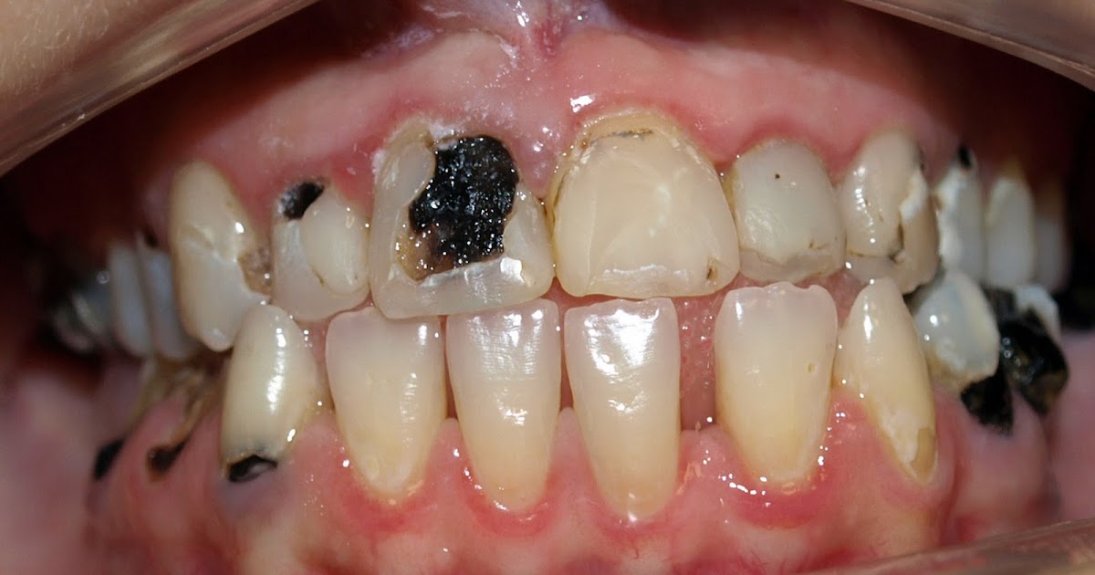
Que Hago Si Tengo Una Carie, , , , , , , 0, ¿Cómo puedo saber si tengo caries? - Dr. Joaquín Jose Dalama Píriz, dentaldalama.es, 1024 x 613, jpeg, WebAlgunas cosas que puede hacer para prevenir la caries dental son: Use flúor, también conocido como fluoruro, un mineral que puede prevenir el avance de las caries dentales. WebEs normal preocuparse y además se debe acudir inmediatamente al dentista si se sospecha de caries. Los niños, al igual que los adultos deben acudir a., 20, que-hago-si-tengo-una-carie, Novedades y Muebles WebAlgunas cosas que puede hacer para prevenir la caries dental son: Use flúor, también conocido como fluoruro, un mineral que puede prevenir el avance de las caries dentales. WebEs normal preocuparse y además se debe acudir inmediatamente al dentista si se sospecha de caries. Los niños, al igual que los adultos deben acudir a.

Web5 consejos para prevenir la aparición de muela con caries. Mantén una correcta higiene bucal. Cepíllate conscientemente los dientes con flúor después de. WebSi has dejado una caries sin tratar y ha empezado a dolerte, significa que la infección ha seguido avanzando hasta atacar los nervios del diente. Estos tejidos son responsables.

Que Hago Si Tengo Una Carie

WebLa higiene y los buenos hábitos son fundamentales para mantener el medio oral libre de caries. Debemos seguir una dieta equilibrada y baja de azúcares e hidratos de. WebExamina la boca y los dientes. Explora los dientes con instrumentos dentales en busca de zonas blandas. Observa radiografías dentales, las cuales pueden. WebLa caries es una afección que se origina como resultado de la aglomeración de bacterias y ácidos en nuestra boca. Esta mezcla de microorganismos. WebEn este punto, el proceso de deterioro de los dientes se puede detener y hasta revertir. El esmalte se puede reparar solo, al usar los minerales que hay en la saliva y el flúor de la. WebPero cuando tenemos una caries avanzada, aumenta nuestra sensibilidad dental y podemos llegar a sentir un dolor intenso. No te preocupes, si necesitas una. WebHaz que te apliquen selladores en los dientes. Si no los tienes todavía, los selladores son una gran manera de proteger tus dientes contra las caries. Un sellador es una cubierta. WebUna caries es una infección que se produce por la acumulación de bacterias en la boca. Comienza atacando al esmalte del diente y, poco a poco, va. WebUna de las enfermedades más comunes por un mal cuidado de los dientes es la aparición de caries. Si no se curan a tiempo pueden propagarse y extenderse por.

Web1. Visita a tu dentista. Una forma de deshacerse del dolor debido a las caries es ir al dentista. Tu dentista te hará un examen y sacará radiografías de tu dentadura para ver. WebLa aparición de las caries suele ser fruto de una higiene dental deficiente. Lo recomendable para prevenir las caries es cepillarse los dientes antes de que transcurran 30 minutos.

WebUna caries es una infección que se produce por la acumulación de bacterias en la boca. Comienza atacando al esmalte del diente y, poco a poco, va. WebUna de las enfermedades más comunes por un mal cuidado de los dientes es la aparición de caries. Si no se curan a tiempo pueden propagarse y extenderse por. WebQue hago si tengo una carie 2 Ver respuestas lavate los dientes pero si la tienes en verdad espera aque se te caigan los dientes y te los lavas pa que no tengas.

close