Novedades y Muebles | Varios tipos de noticias y varias reseñas

Se Me Ha Despegado El Retenedor Fijo

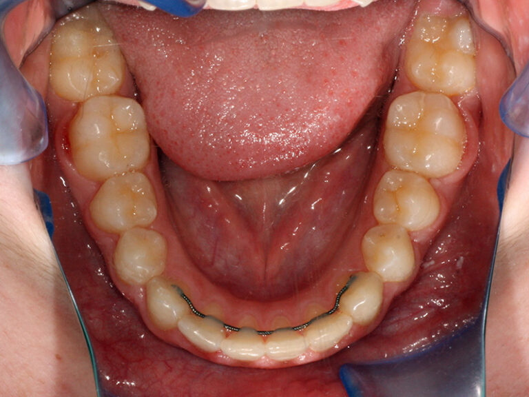
Se Me Ha Despegado El Retenedor Fijo, , , , , , , 0, Rotura Retenedores Dentales, dentaldosdoce.es, 768 x 576, jpeg, WebSi se te ha despegado los retenedores fijos de ortodoncia o te rozan en la lengua porque se ha soltado el alambre, debes acudir a tu ortodoncista lo antes posible. Cuando has., 20, se-me-ha-despegado-el-retenedor-fijo, Novedades y Muebles WebSi se te ha despegado los retenedores fijos de ortodoncia o te rozan en la lengua porque se ha soltado el alambre, debes acudir a tu ortodoncista lo antes posible. Cuando has.

WebSi se te ha despegado los retenedores fijos de ortodoncia o te rozan en la lengua porque se ha soltado el alambre, debes acudir a tu ortodoncista lo antes posible..

Se Me Ha Despegado El Retenedor Fijo

WebEsto es debido a muchos factores, puede ser desde una oclusión poco estable, hasta que las distintas fuerzas masticatorias muevan los dientes. La única forma. WebSi el retenedor dental fijo se ha despegado, o se ha roto alguna parte del retenedor removible que se use, llámanos para que te demos cita y podamos repararlo.. WebEn caso de que se te haya despegado un retenedor fijo, sí debes ponerte en contacto con tu dentista de confianza para que vuelva a cementarlo lo antes posible.. Web¿Qué hacer si se despega el retenedor fijo? En estos casos, es importante llamar al consultorio y pedir una cita, para recementar el retenedor fijo lo antes posible. No debe. WebPuede que no se dé cuenta de que el retenedor se ha roto hasta que uno o más dientes se empiecen a mover del lugar. Por ello es indispensable que acuda a. Web¿Tienes una urgencia con tu retenedor fijo? Consulta los problemas más frecuentes con los aparatos de ortodoncia o solicita una cita de urgencia. Consulta los problemas más. WebYo también llevo retenedores y en mi dentista si se me sueltan me lo vuelven a pegar sin coste, porque entra dentro del precio que pagué de tratamiento. En caso de que se te.

WebSi has recibido un tratamiento de ortodoncia o estás pensando en empezar uno debes saber que al finalizar la ortodoncia deberás llevar unos retenedores dentales. WebLos retenedores fijos se colocan el mismo día que se retiran los aparatos. En el caso de las férulas removibles a medida, el ortodoncista tiene que realizar un escáner en 3D para.

WebYo también llevo retenedores y en mi dentista si se me sueltan me lo vuelven a pegar sin coste, porque entra dentro del precio que pagué de tratamiento. En caso de que se te.

close