Novedades y Muebles | Varios tipos de noticias y varias reseñas
Que Se Ve En Una Resonancia De Oído, VIDEO DE RMI DE OIDOS, 72.97 MB, 53:08, 2,496, Horacio Tenuto, 2021-05-08T05:05:53.000000Z, 3, 17.casos clinicos hipoacusias perceptivas, es.slideshare.net, 728 x 546, jpeg, WebUna Resonancia de Oído es un estudio correspondiente a la Resonancia Magnética, en el cual se obtienen imágenes de alta definición anatómica del oído interno,. WebLas indicaciones de la Rm de casi, aunque no se limitan a estas, son las siguientes: Procesos expansivos relacionados con los nervios craneales faciales y acústico, como el., 20, que-se-ve-en-una-resonancia-de-oido, Novedades y Muebles WebUna Resonancia de Oído es un estudio correspondiente a la Resonancia Magnética, en el cual se obtienen imágenes de alta definición anatómica del oído interno,. WebLas indicaciones de la Rm de casi, aunque no se limitan a estas, son las siguientes: Procesos expansivos relacionados con los nervios craneales faciales y acústico, como el.
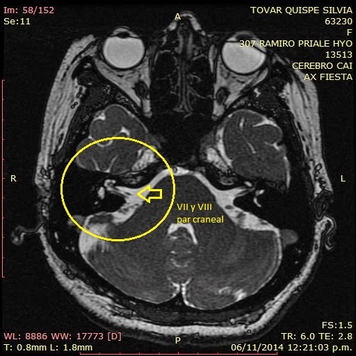
WebLas ondas sonoras entran al oído externo a través de un pasaje estrecho llamado “conducto auditivo” que llega hasta el tímpano. El movimiento de las ondas sonoras hace que el. WebLa verdad es que, el sonido que se produce en la máquina de resonancia es superior a los 110 decibeles, puede llegar hasta a los 140db. Después de unos minutos, este ruido se.
Source: www.slideshare.net
Resonancias | Instituto Oulton | Diagnostico y Tratamiento ambulatorio
Source: institutoulton.com.ar
Source: epos.myesr.org
Source: www.pinterest.com
WebConsiste en la obtención de imágenes de alta definición anatómica del oído interno mediante el empleo de un campo electromagnético y ondas de radio (con un emisor y un. WebUna angiografía por resonancia magnética (ARM) es una forma de imagen por resonancia magnética que crea imágenes tridimensionales de los vasos sanguíneos. Resultados. WebLa resonancia magnética se considera una de las formas más seguras y efectivas de detectar diversas patologías del ojo, examinando cuidadosamente las. WebLa resonancia magnética sirve para detectar tumores, pero en los años 90 se descubrió que podrían servir para obtener otras informaciones. Cómo funciona la. WebEl oído externo (OE) es accesible al examen directo. En la mayor parte de las enfermedades, la historia clínica y la otoscopia son suficientes para su diagnóstico y. WebLa resonancia magnética cerebral (RM cerebral) es uno de los estudios más solicitados de imagenología médica. Permite a los médicos enfocarse en varias partes del encéfalo y. WebEl profesional que solicita un estudio de imágenes de Resonancia Magnética indicará siempre la región que debe ser evaluada. El motivo del estudio,. WebAl cabo de cuatro horas, tiempo en el que se calcula que el gadolinio ha difundido al oído interno, se le realiza al paciente una resonancia magnética de 3.
WebUna resonancia magnética no causa dolor. Si usted tiene problemas para permanecer quieto o está muy nervioso, se le puede dar un medicamento para relajarse. El. WebEn la actualidad, el avance de los métodos más complejos como la Tomografía Computada (TC) y la Resonancia Magnética (RM), permiten evaluar con altísimo detalle a las. WebEl oído humano es un órgano complejo del sistema auditivo. Además de la audición, el oído permite la percepción y control de la posición espacial y los movimientos de la cabeza.
WebEl profesional que solicita un estudio de imágenes de Resonancia Magnética indicará siempre la región que debe ser evaluada. El motivo del estudio,. WebAl cabo de cuatro horas, tiempo en el que se calcula que el gadolinio ha difundido al oído interno, se le realiza al paciente una resonancia magnética de 3. WebLa Resonancia magnética (RMN), consiste en un examen indoloro y no invasivo que permite obtener imágenes del interior del cuerpo. Puede detectar patologías y realizar.
Source: Youtube.com