Novedades y Muebles | Varios tipos de noticias y varias reseñas
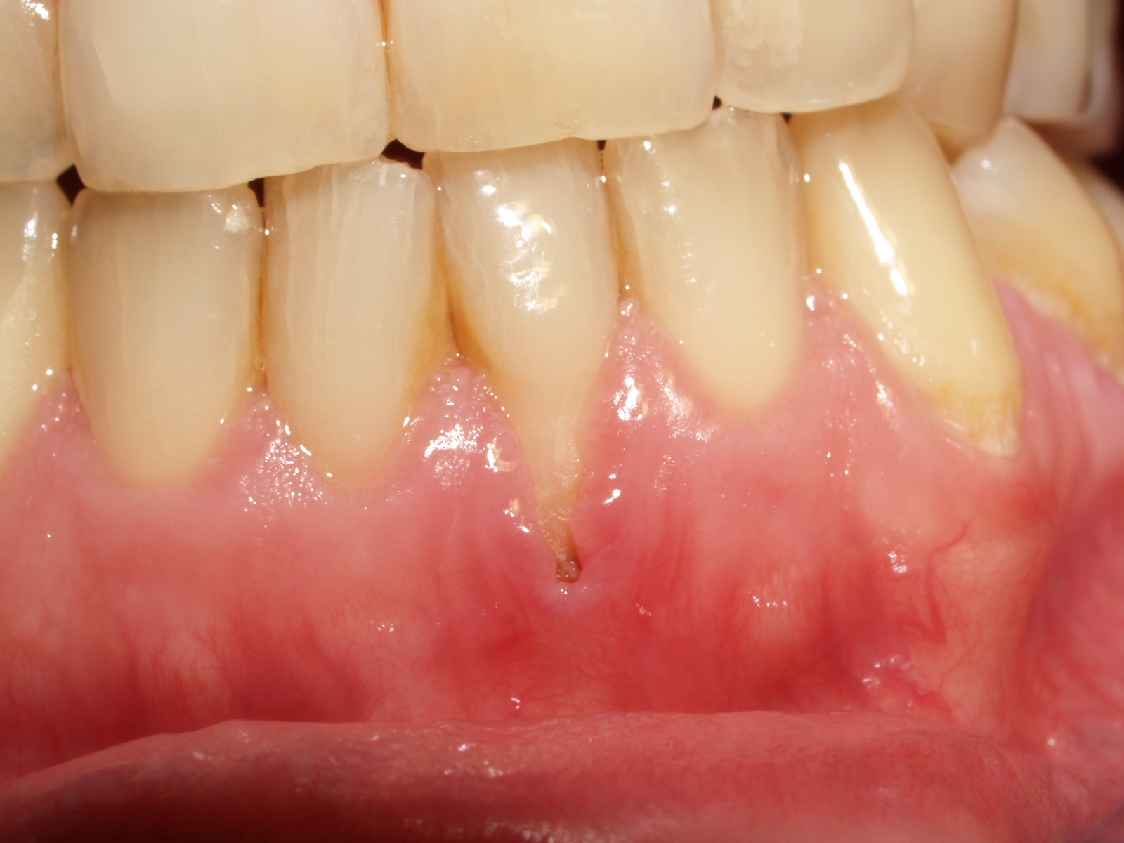
Pequeña Herida En La Encía, , , , , , , 0, Lesión en la encía, www.propdental.es, 1017 x 1024, jpeg, WebPor lo general, la causa de una herida en la encía suele ser un pequeño bocado, un cepillado demasiado frecuente o brusco, haber tomado algún alimento duro….. WebLas heridas en la encía se pueden desarrollar por razones diferentes como son las siguientes: La colocación de una prótesis mal ajustada. Cepillarse con mucha. Web1. Agua con sal – Es uno de los remedios caseros más populares y efectivos. Para eliminar la molestia en las encías, sólo bastará con calentar un poco de agua y añadirle sal.., 20, pequena-herida-en-la-encia, Novedades y Muebles WebPor lo general, la causa de una herida en la encía suele ser un pequeño bocado, un cepillado demasiado frecuente o brusco, haber tomado algún alimento duro….. WebLas heridas en la encía se pueden desarrollar por razones diferentes como son las siguientes: La colocación de una prótesis mal ajustada. Cepillarse con mucha. Web1. Agua con sal – Es uno de los remedios caseros más populares y efectivos. Para eliminar la molestia en las encías, sólo bastará con calentar un poco de agua y añadirle sal..
WebCuanto más pequeña sea la herida, más sencillo será su proceso de curación y menos molestias te causará. Si, por el contrario, observas que la llaga no remite con el paso de.
Source: www.propdental.es
Source: www.propdental.es
Source: www.propdental.es
WebLas heridas en la boca y en los labios pueden surgir debido a aftas, golpes en la boca o irritación de la zona debido a alimentos muy calientes o fríos, por ejemplo. Asimismo, las. WebLas llagas pueden aparecer en prácticamente cualquier parte de la boca, siendo comunes en las encías y la cara interna de las mejillas, y existen muchas. WebUn punto negro en la encía de un bebé no suele tener su origen en la melanosis gingival. Lo más común es que se trate de un diente de leche. Si el diente. WebSi has notado la formación de un bulto en la encía detente a analizar tus síntomas. Por ejemplo, si el bulto está causando un dolor dental exacerbado es muy posible que se. WebLas encías sanas no sangran, por lo que si ves rastros de sangre al cepillarte los dientes o usar hilo dental, puede que sea un signo de que tus encías están. WebHerida en la encia. Hace varios meses ya eh tenido esta pepita blanca en la encía nunca me a dolido ni nada eh ido con periodoncia y odontología y dicen que a veces la encía. WebUn diente incluido está clavado en el tejido de la encía o en el hueso por varias causas. Puede ser que la zona simplemente esté apiñada y no exista el espacio. WebSi la herida en tu encía no cicatriza, lo mejor es que acudas a tu dentista. Es común que nos hagamos heridas en las encías al comer alimentos duros y/o puntiagudos..
WebFluye en cuatro etapas, que se mueven una a otra con bastante rapidez. En la primera etapa de la enfermedad de las encías, se revela una pequeña formación en la. WebI. Hola Compañ[email protected], creo que no reviste ninguna gravedad, porque normalmente la encía vuelve a 'pegarse' o soldarse por ella misma, lo que sí podría. WebInicio¿Cómo sanar una herida en la encía?Preguntado por: AlmaPublicado: 06/09/2022Buscando una respuesta a la pregunta: ¿Cómo sanar una herida en la.
WebUn diente incluido está clavado en el tejido de la encía o en el hueso por varias causas. Puede ser que la zona simplemente esté apiñada y no exista el espacio. WebSi la herida en tu encía no cicatriza, lo mejor es que acudas a tu dentista. Es común que nos hagamos heridas en las encías al comer alimentos duros y/o puntiagudos.. WebEne 2009 | 11.465 Mens. Herida en la encía y pequeña mancha en los incisivos inferiores. Pues eso shurmanos, ya llevaba días que me dolía la encía debajo.