Novedades y Muebles | Varios tipos de noticias y varias reseñas

Prognatismo Mandibular Tratamiento Sin Cirugia

Prognatismo Mandibular Tratamiento Sin Cirugia, 💊 Tratamiento para 𝗠𝗢𝗥𝗗𝗜𝗗𝗔 𝗜𝗡𝗩𝗘𝗥𝗧𝗜𝗗𝗔 clase 3 en NIÑOS y ADULTOS (MORDIDA CRUZADA ANTERIOR), 8.13 MB, 05:55, 64,263, Clínica Avance Dental - Alcobendas, 2022-05-02T18:30:12.000000Z, 3, Cómo detectar el prognatismo mandibular en niños | Clínica Birbe, www.birbe.org, 800 x 800, jpeg, WebTratamiento del prognatismo El prognatismo se corrige mediante la cirugía ortognática , un tipo de cirugía maxilofacial, combinada normalmente con ortodoncia. En esta., 20, prognatismo-mandibular-tratamiento-sin-cirugia, Novedades y Muebles WebTratamiento del prognatismo El prognatismo se corrige mediante la cirugía ortognática , un tipo de cirugía maxilofacial, combinada normalmente con ortodoncia. En esta.

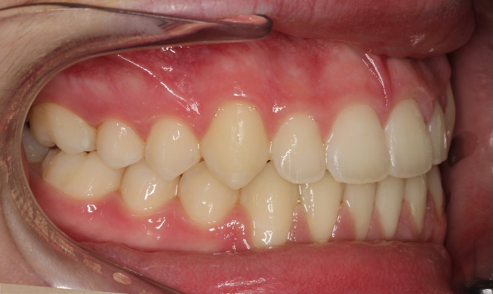
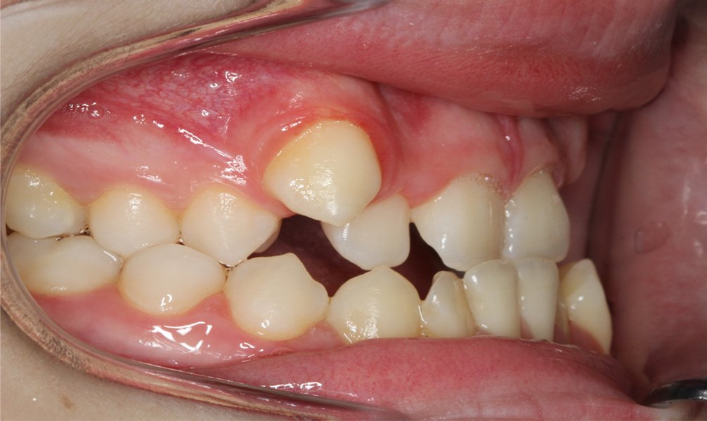
WebEl tratamiento para el prognatismo mandibular dependerá de algunos factores, por ejemplo: la causa de la afección, la edad del paciente y el desplazamiento que tengan los huesos..

Prognatismo Mandibular Tratamiento Sin Cirugia

WebEl tratamiento del prognatismo mandibular en Maxilodexeus Nuestro centro en Barcelona es referente e este tipo de tratamientos: cuando se trata de pacientes niños y adolescentes. WebPrognatismo mandibular cirugía en adultos. En el caso de personas adultas que padecen prognatismo mandibular, será necesario combinar un tratamiento de ortodoncia con. WebPrognatismo mandibular: tratamiento mandíbula prominente. El prognatismo mandibular consiste en una maloclusión en que el mentón es prominente. Por ello, es. WebEl prognatismo mandibular implica que los dientes no cierren de forma correcta, y el perfil muestra un exceso de proyección en la parte inferior del rostro. Los cirujanos. WebTengo prognatismo de la mandíbula porque desde temprano perdí los dientes y me reajusté mi forma de masticar puedo corregirlo a mis 21 años sin cirugía? Dísculpen ,. WebEl tratamiento temprano (también conocido como tratamiento de fase 1) entre las edades de 7 y 10 años puede ser más eficaz para corregir esta malformación.

WebEl tratamiento del prognatismo mandibular depende de las causas de la patología y de la gravedad que tenga el desplazamiento entre ambas mandíbulas. En. WebEl prognatismo mandibular es un problema que afecta las funciones bucales y la apariencia del rostro. Te contamos de qué se trata y cómo se corrige.. WebEl tratamiento de prognatismo mandibular requiere de la figura del ortodoncista, ya que primero debemos eliminar las compensaciones dentales para proporcionar al.

WebEl tratamiento temprano (también conocido como tratamiento de fase 1) entre las edades de 7 y 10 años puede ser más eficaz para corregir esta malformación. WebEl prognatismo mandibular surge a consecuencia de una anomalía clara en el desarrollo de los huesos de la mandíbula. Son muchas las consecuencias que se.

close