Novedades y Muebles | Varios tipos de noticias y varias reseñas
Primera Ecografía Tras Beta Positiva, De la Beta positiva a la primera ecografía. Unas semanas difíciles de gestionar., 5.91 MB, 04:18, 4,799, C'Est La Vie, Noemí!, 2020-03-12T13:32:38.000000Z, 3, Valores Beta Positiva Fiv Discount Buy, Save 42% | jlcatj.gob.mx, www.jlcatj.gob.mx, 1200 x 1600, jpeg, WebPrimera ecografía tras una beta hCG positiva 0 Los pacientes que se han realizado algún tratamiento de reproducción asistida , bien sea una inseminación. WebLos primeros días después de una beta positiva suelen ser de felicidad absoluta, pensamos que nuestro sueño se ha cumplido y que, por fin, después de., 20, primera-ecografia-tras-beta-positiva, Novedades y Muebles WebPrimera ecografía tras una beta hCG positiva 0 Los pacientes que se han realizado algún tratamiento de reproducción asistida , bien sea una inseminación. WebLos primeros días después de una beta positiva suelen ser de felicidad absoluta, pensamos que nuestro sueño se ha cumplido y que, por fin, después de.
WebSi esta es positiva, indicará embarazo, y se realizará la primera ecografía entre las 5ª-7ª semanas de gestación, de ese modo confirmaremos la localización. WebDe todos modos, habrá que esperar a la primera ecografía de embarazo para poder saberlo con certeza. Además nos comentaron que de forma general, la.
Primera ecografía tras un embarazo natural y por reproducción asistida
Source: www.reproduccionasistida.org
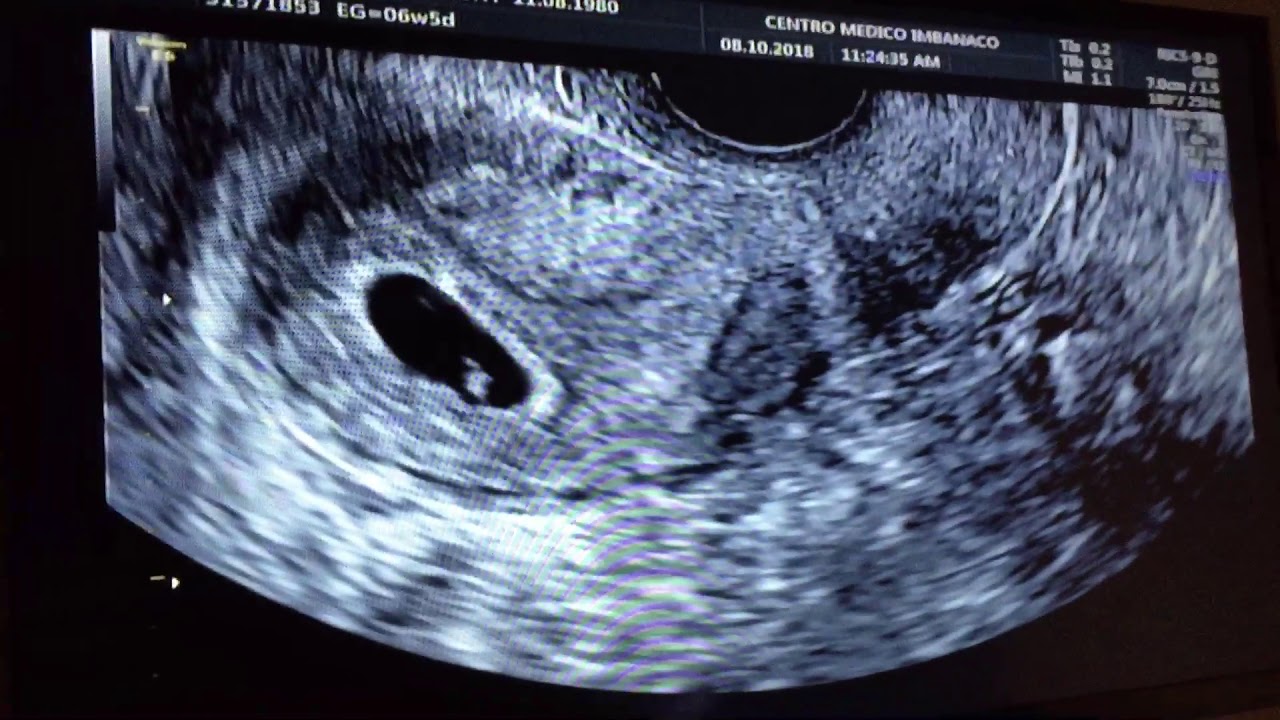
WebEl test beta hCG: Análisis de embarazo en sangre, se realiza en los siguientes casos: En caso de gestación natural, se puede realizar a partir del primer día que se esperaba la. WebLa primera ecografía tras la prueba de embarazo positiva suele realizarse en torno a la sexta semana de gestación. Recordemos que siempre hay que calcularlo contando. WebEl corazón del feto empieza a formarse a partir de la 5ª semana de embarazo y los latidos pueden empezar a apreciarse a partir de las 6 semanas. WebComo bien ha comentado tu ginecólogo, el análisis de la beta hCG 12 días después de la transferencia revela un valor alto, que hace sospechar un embarazo. WebTras un beta positivo es normal sentirse así.. Sabemos que se ha producido el embarazo, que el embrión se ha quedado retenido. Haremos una. WebBeta positiva. Y ahora qué? Hace un año estaba justo en este momento. La donación de embriones había salido bien! La Beta había salido positiva. Bien!!! Pero...
WebLo más importante es que el valor de tu hormona va aumentando, lo que podría indicar que el embarazo es evolutivo. De todos modos, la confirmación de la. WebLA PRIMERA ECOGRAFÍA TRAS EL POSITIVO Yo también me siento totalmente identificada!! todavía no estoy disfrutando a tope, porque es como que no me. WebPrimera ecografía de embarazo tras los Tratamientos de FIV (Fertilización in Vitro) Confirmación de embarazo tras FIV y Donación de óvulos (Ovodonación). La primera.
WebLa primera ecografía tras un tratamiento de reproducción asistida es uno de los momentos más emocionantes. En muchos casos, tras comunicar el resultado positivo de la prueba.