Novedades y Muebles | Varios tipos de noticias y varias reseñas
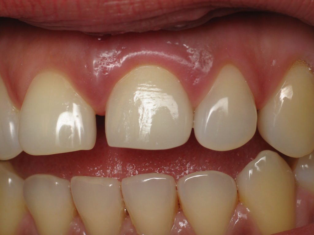
Los Dientes Se Me Mueven, ¿Que puedo hacer si se me MUEVEN los DIENTES y me los tienen que QUITAR MIRA la SOLUCIÓN PERFECTA, 1.21 MB, 00:53, 1,899,966, Clínica Avance Dental - Alcobendas, 2022-04-12T18:30:47.000000Z, 3, ¿POR QUÉ SE MUEVEN LOS DIENTES? | Clínica Dental en Carballo, clinicapicoblanco.com, 1920 x 1080, jpeg, WebLos dientes flojos o dientes que se mueven o incluso dientes que se caen son la consecuencia de una de las enfermedades más graves que aparece en. WebEstimado lector si sientes que se te mueven los dientes cuando masticas algo o cuando pasas tu lengua por la dentadura, ten mucho cuidado ya que es un síntoma de la., 20, los-dientes-se-me-mueven, Novedades y Muebles WebLos dientes flojos o dientes que se mueven o incluso dientes que se caen son la consecuencia de una de las enfermedades más graves que aparece en. WebEstimado lector si sientes que se te mueven los dientes cuando masticas algo o cuando pasas tu lengua por la dentadura, ten mucho cuidado ya que es un síntoma de la.
WebLas causas más comunes por las que se mueve un diente son enfermedad periodontal avanzada, caries o bruxismo. La periodontitis o piorrea dental es una. Web-Cambios en el tejido conectivo: A causa de la edad o por una enfermedad periodontal podemos perder una pequeña parte estructura ósea, lo que puede facilitar el movimiento.
¿Por qué se mueven mis dientes? Causas de la movilidad dental | ED
Source: estudidentalbarcelona.com
¿Cómo se mueven los dientes durante los tratamientos de ortodoncia? ⋆
Source: www.notimpossiblenow.com
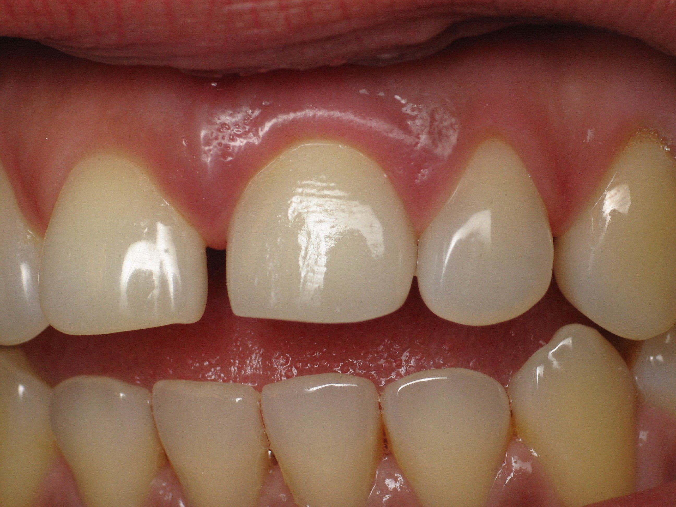
WebPor último pero no menos importante, la razón por la que tus dientes se mueven se puede deber a que te falta un diente o tienes una enfermedad periodontal.. WebLos motivos principales de que se suelten los dientes y se muevan son los siguientes: Enfermedades periodontales: gingivitis y periodontitis (piorrea).. WebExisten muchas razones que debilitan los dientes y provocan que éstos no estén fijos, como las enfermedades bucales o una deficiente higiene oral. Si estás interesado en saber. WebParafunción. La parafunción más común que hace que nuestros dientes presenten movilidad es el bruxismo. Apretar y rechinar los dientes ejerciendo demasiada fuerza,. WebUna de las causas puede ser, que al final de tratamiento, la oclusión (cómo encajan los dientes) no fuera estable. Cuando los dientes se mueven incluso con el. WebEl movimiento de los dientes también puede darse cuando una pieza sufre esta patología. Un traumatismo, sufrir un accidente, la enfermedad periodontal y la caries. WebPor naturaleza, los dientes están dotados de un movimiento casi imperceptible que podemos sentir ligeramente si los tocamos con los dedos y. WebMis dientes se mueven, ortodoncia. Los pacientes que llevan un tratamiento de ortodoncia pueden notar movilidad en los dientes. Al ser un tratamiento dental.
WebSi se te mueve un diente, la prevención será siempre tu gran aliada a la hora de salvar la pieza dental. Por ello, sientas o no dolor o molestia, ante cualquier síntoma. WebNaturalmente, los dientes tienen un movimiento que casi es imposible de notar. Se puede sentir si intentas tocarlos y moverlos con tus dedos. Pero ese. WebLos dientes sanos se mueven de forma casi imperceptible, lo que se conoce como movilidad fisiológica. Depende de si hay una pérdida de inserción del hueso o no. En.
WebPor naturaleza, los dientes están dotados de un movimiento casi imperceptible que podemos sentir ligeramente si los tocamos con los dedos y. WebMis dientes se mueven, ortodoncia. Los pacientes que llevan un tratamiento de ortodoncia pueden notar movilidad en los dientes. Al ser un tratamiento dental.