Novedades y Muebles | Varios tipos de noticias y varias reseñas
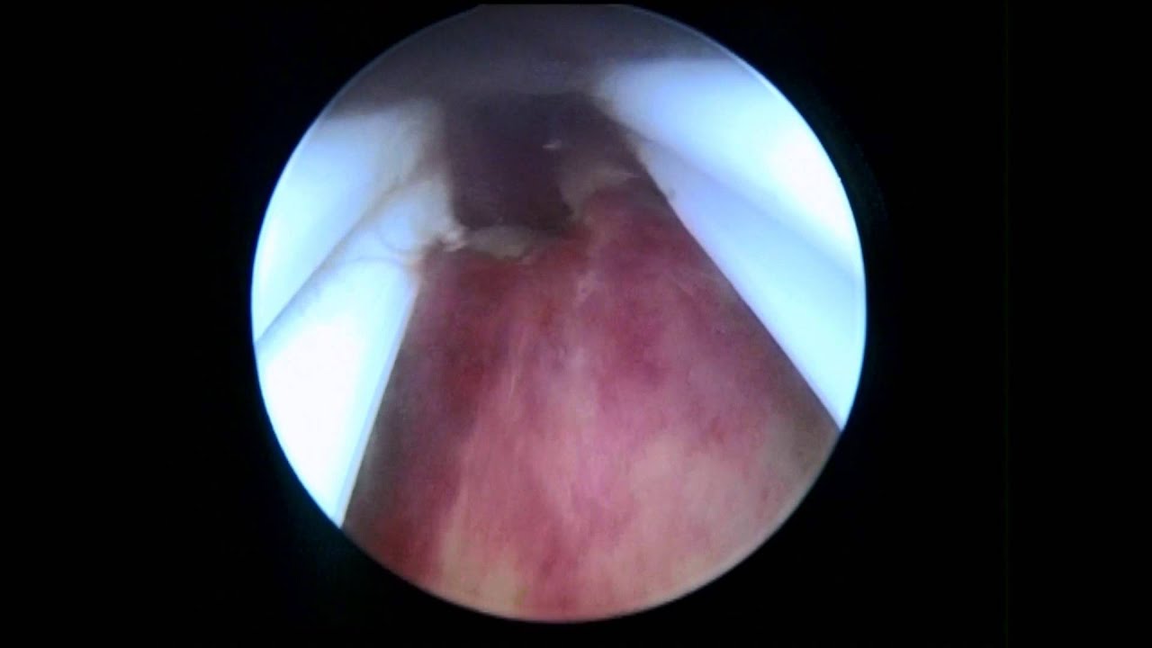
Embarazo Después De Histeroscopia Foro, HISTEROSCOPIA diagnóstica || PODEMOS tener un BEBÉ || Pulpito's Family #histeroscopia, 23.64 MB, 17:13, 1,191, Pulpito's Family, 2020-02-06T15:50:05.000000Z, 3, DIAGNOSTICO DE EMBARAZO MOLAR POR HISTEROSCOPIA - Diplomadomedico.com, diplomadomedico.com, 1375 x 917, jpeg, WebEl tiempo que deberás esperar para buscar el embarazo tras la histeroscopia quirúrgica dependerá de la situación particular, por lo que lo mejor será. WebRespuesta de Grether Pérez Diaz: Hola, buenas tardes, no hay que esperar despues de este proceder para buscar embarazo, a menos que la indicacion hay sido justamente. WebProbabilidad de embarazo después de laparoscopia, histeroscopia e intervención de endometriosis. 6. 21/01/2023. Embarazo natural después de una. WebLa evaluación de la cavidad se realiza también para las mujeres que tienen dificultades para quedarse embarazadas. Otras condiciones adecuadas para la., 20, embarazo-despues-de-histeroscopia-foro, Novedades y Muebles WebEl tiempo que deberás esperar para buscar el embarazo tras la histeroscopia quirúrgica dependerá de la situación particular, por lo que lo mejor será. WebRespuesta de Grether Pérez Diaz: Hola, buenas tardes, no hay que esperar despues de este proceder para buscar embarazo, a menos que la indicacion hay sido justamente. WebProbabilidad de embarazo después de laparoscopia, histeroscopia e intervención de endometriosis. 6. 21/01/2023. Embarazo natural después de una. WebLa evaluación de la cavidad se realiza también para las mujeres que tienen dificultades para quedarse embarazadas. Otras condiciones adecuadas para la.
WebDespués de la histeroscopia, no debe haber obstáculos para el embarazo si: el procedimiento se llevó a cabo con fines de diagnóstico; no había enfermedades obvias. WebEl embarazo continúa habitualmente sin incidentes. La histeroscopia puede ser incluso un acto deliberado para buscar un DIU perdido. En el caso de embarazo, el DIU podrá ser. WebMe han dicho que después de la histeroscopia es fácil quedarse embarazada porque es una especie de legrado. Alguien sabe si es cierto? Podría estar.
WebLo que si es verdad que hasta el doctor me lo dijo es que después de esta prueba era muy probable quedarse embarazada ya que te limpia y por el líquido!! Suerte. WebComo parte del proceso de fecundación in vitro (FIV), una histeroscopia nos ayudará a comprobar que su útero está lo suficientemente sano para que el embrión se implante y. Webhola soy madre de 2 hijos varones me vino la regla el 21 de diciembre y mis dias fertiles para tener una hija son del 31 al dia 3 pero resulta que el dia 7 me hacen. WebUna de las razones por la que puedes quedar embarazada después de una ligadura de trompas es a través de la recanalización, un fenómeno en el que las trompas vuelven a. WebEmbarazo después de un aborto espontáneo. Puedes ovular y quedar embarazada apenas dos semanas después de un aborto espontáneo. Una vez que te sientas emocional y. WebBuscando el embarazo después de una histeroscopia sandra20a, actualizado el domingo, 8 de septiembre de 2019 a las 00:12 en Fertilidad. Hola a chicas, alguna a quedado. WebOvulación después de la histeroscopia Casos de éxito en el embarazo tras una laparoscopia Rachel Gurevich es una defensora de la fertilidad, autora y galardonada. WebDespués de la histeroscopia, no debe planificar un embarazo de inmediato. Experiencia de mujeres sometidas a histeroscopia Muchas mujeres que se han.
WebHola doctor el miercoles de la semana pasada me hicieron una histeroscopia quirujica para quitar un resto de un aborto espontáneo. Sangré ese día, seria debido a la. WebVerás, a mí me hicieron una histeroscopia en noviembre del año pasado, después de tener dos abortos espontáneos. También leí que después de esta prueba. WebDespués de la histeroscopia me he quedado embarazada: buenas noches chicas, en Diciembre me operaron por histeroscopia de muchísimas adherencias pegadas en el.
WebOvulación después de la histeroscopia Casos de éxito en el embarazo tras una laparoscopia Rachel Gurevich es una defensora de la fertilidad, autora y galardonada. WebDespués de la histeroscopia, no debe planificar un embarazo de inmediato. Experiencia de mujeres sometidas a histeroscopia Muchas mujeres que se han. WebForo sobre el embarazo exitoso después de una histeroscopia. La duración media de los procedimientos fue de 28±17 minutos y el tamaño medio de los miomas fue de.
HISTEROSCOPIA diagnóstica || PODEMOS tener un BEBÉ || Pulpito's Family #histeroscopia
Source: Youtube.com
Source: Youtube.com