Novedades y Muebles | Varios tipos de noticias y varias reseñas
Tecnica De Ravitch Pectus Excavatum, CORRECCIÓN DE PECTUS EXCAVATUM (TÉCNICA MODIFICADA DE RAVITCH), 2.15 MB, 01:34, 5,044, Dr. Victor Zotés - Cirujano de Tórax, 2019-08-17T22:19:43.000000Z, 3, Figure 2 from Modified Ravitch Procedure for Left Poland Syndrome, www.semanticscholar.org, 996 x 692, png, WebBackground: Pectus excavatum is the most common congenital chest wall deformity. The two most common surgical techniques for its correction are the modified. WebWhat is the Ravitch procedure. At The Children's Hospital of Philadelphia (CHOP), the Ravitch procedure is used to correct severe or complex cases of pectus carinatum. The. WebLa tecnica di Ravitch. E' un altro intervento per il pectus excavatum ed è l’opzione chirurgica tradizionale (oggi meno praticata) e consiste nell'asportazione., 20, tecnica-de-ravitch-pectus-excavatum, Novedades y Muebles WebBackground: Pectus excavatum is the most common congenital chest wall deformity. The two most common surgical techniques for its correction are the modified. WebWhat is the Ravitch procedure. At The Children's Hospital of Philadelphia (CHOP), the Ravitch procedure is used to correct severe or complex cases of pectus carinatum. The. WebLa tecnica di Ravitch. E' un altro intervento per il pectus excavatum ed è l’opzione chirurgica tradizionale (oggi meno praticata) e consiste nell'asportazione.
WebBackground: There are conflicting reports in the literature comparing outcomes after open Ravitch and minimally invasive Nuss procedures for pectus excavatum repair, and there. WebThe pectus bars are removed two years after insertion with minimally invasive surgeries like the Nuss procedure. It is also an outpatient process that takes.
Modified Ravitch Procedure for Left Poland Syndrome Combined With
Source: www.annalsthoracicsurgery.org
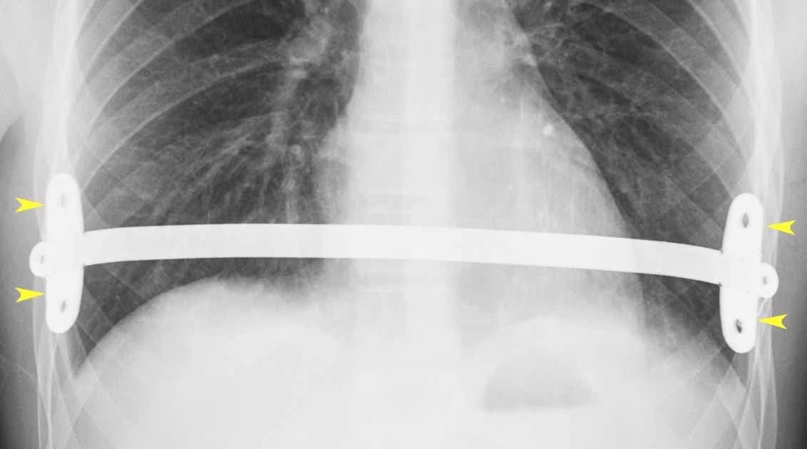
Figure 1 from Surgical correction of 639 pectus excavatum cases via the
Source: www.semanticscholar.org
Figure 6 from Surgical correction of 639 pectus excavatum cases via the
Source: www.semanticscholar.org
A 25-year-old man had recurrent pectus excavatum after a Nuss procedure
Source: www.researchgate.net
WebThe Ravitch technique is an invasive surgery that was introduced in 1949, and developed in the 1950s to treat pectus deformities. This procedure involves creating an incision along. WebBackground/purpose: To evaluate surgical outcomes of Nuss versus Ravitch repair of pectus excavatum via a systematic review and meta-analysis. Methods: Medline, PubMed,. WebThe Ravitch procedure was developed for the surgical treatment of congenital chest wall deformities, including pectus excavatum and pectus carinatum. These congenital. WebDas Ravitch-Verfahren ist eine chirurgische Korrektur der angeborenen Brustfehlbildungen, die als Pectus Excavum und Pectus Carinatum bezeichnet werden.. WebAnamnesi: correzione chirurgica di precedente Ravitch modificata (con la tecnica ad amaca) per un grave Pectus Excavatum asimmetrico. Presentazione Questo giovane. Webho 24 anni e presento Pectus excavatum con rientranza di 4cm. Non riscontro nessun problema ad eccezione di quello estetico. Sono a conoscenza delle due tecniche (Ravich. WebLa técnica modificada de Ravitch ofrece una excelente alternativa para corregir diversos tipos de malfo... Las técnicas quirúrgicas deben adecuarse a cada caso.
WebPectus excavatum è qualche volta considerato di essere cosmetico; comunque, secondo la gravità, può deteriorare la funzione cardiaca e respiratoria e provocare il dolore nel petto. WebIn che cosa consiste l’intervento di Ravitch per il petto escavato? L’intervento di Ravitch è l’intervento più diffuso per la cura del petto escavato (pectus excavatum) negli adulti.. WebWarning: This video contains actual surgical footage, which may not be suitable for all viewers.To learn more about pectus excavatum, please visit http://cle...
Webho 24 anni e presento Pectus excavatum con rientranza di 4cm. Non riscontro nessun problema ad eccezione di quello estetico. Sono a conoscenza delle due tecniche (Ravich. WebLa técnica modificada de Ravitch ofrece una excelente alternativa para corregir diversos tipos de malfo... Las técnicas quirúrgicas deben adecuarse a cada caso. WebLa technique de Ravitch consiste à sectionner les cartilages costaux défectueux (déformés) et à intervenir au niveau du sternum pour le redresser. Par la.