Novedades y Muebles | Varios tipos de noticias y varias reseñas

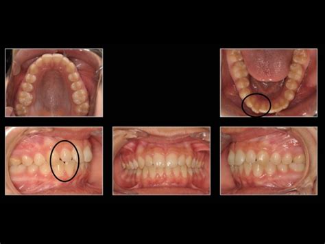
Solo Tengo Un Diente Torcido

Solo Tengo Un Diente Torcido, Solo tengo UN DIENTE TORCIDO: ¿necesito usar BRACKETS ¿Y si es diente de leche | #Shorts, 1.37 MB, 01:00, 10,128, Dentalk!, 2021-12-09T22:00:10.000000Z, 3, Dientes torcidos.¿Soluciones? - Clínica Birbe, birbe.org, 1200 x 800, jpeg, WebLos dientes torcidos son un problema común en la población, sobre todo si hablamos de los niños: todos los padres suelen estar muy preocupados por el hecho. WebTras someterte a un tratamiento de ortodoncia, tus dientes ya no estarán apiñados o torcidos. Podrás mejorar la higiene de tus dientes, prevenir problemas., 20, solo-tengo-un-diente-torcido, Novedades y Muebles WebLos dientes torcidos son un problema común en la población, sobre todo si hablamos de los niños: todos los padres suelen estar muy preocupados por el hecho. WebTras someterte a un tratamiento de ortodoncia, tus dientes ya no estarán apiñados o torcidos. Podrás mejorar la higiene de tus dientes, prevenir problemas.

WebEn primer lugar, comprobemos que no hay ningún problema físico que cause ese diente torcido. Un diente torcido puede ser el resultado de un traumatismo. WebOrtodoncia para un solo diente. Hola, a mi me pasaba lo mismo que a ti, tb tengo un diente lateral bastante torcido y al reir se ve mucho. Después de mucho dar.

Solo Tengo Un Diente Torcido

WebA partir de los 5 o 6 años se empiezan a caer los dientes de leche y ves que los nuevos dientes no salen donde estaban los anteriores. Ahora, salen mal colocados,. Web¿Es posible usar ortodoncia en los dientes de leche? ¿Es necesario usarla si solo tengo un diente torcido? ¿Me pueden colocar brackets si me acaban de extrae... Web1.5K views, 12 likes, 2 loves, 0 comments, 0 shares, Facebook Watch Videos from Clínica Dental Pardiñas: ¿Es posible usar ortodoncia en los dientes de leche? ¿Es necesario. WebOtras causas para la aparición de los dientes torcidos pueden ser los traumatismos o golpes en la boca en la época de la niñez y otros malos hábitos como chuparse el dedo cuando. WebSi solo existe un ligero apiñamiento con unos pocos meses de tratamiento será suficiente. Si es necesario hacer extracciones o hay dientes incluidos, puede durar más de dos. WebHola, tengo toda la boca y dientes en excelente estado nunca tube problemas, solo que al cepillarme los dientes me sangra la encia, pero tengo un diente. WebSi crees que el diente está lo suficientemente flojo para salir sin causar dolor, entonces utiliza un pedazo de gasa esterilizada para agarrar el diente y girarlo. X Fuente confiable. WebLos dientes torcidos pueden causar problemas en el estado de salud de los niños. Más del 50 por ciento de los niños presentan problemas de maloclusión o.

Web11 enero 2022. A pesar de que a todos nos encantaría nacer y crecer con una dentadura perfecta y bien alineada, existen estudios que han demostrado que una. WebCuando queremos mover una pieza dental, generalmente porque está superpuesta, torcida o separada de otros dientes, y está generando otros problemas. WebSíntomas. Las muelas del juicio retenidas no siempre causan síntomas. Sin embargo, cuando una muela del juicio retenida se infecta, daña otros dientes o causa.

WebSi crees que el diente está lo suficientemente flojo para salir sin causar dolor, entonces utiliza un pedazo de gasa esterilizada para agarrar el diente y girarlo. X Fuente confiable. WebLos dientes torcidos pueden causar problemas en el estado de salud de los niños. Más del 50 por ciento de los niños presentan problemas de maloclusión o. WebRealizar una ortodoncia para corregir un solo diente puede ser algo que nos tengamos que pensar y mucho, a nadie le gusta tener que hacerse nada en la boca debido a que no es.

close