Novedades y Muebles | Varios tipos de noticias y varias reseñas

Se Puede Poner Ortodoncia Con Encías Retraídas

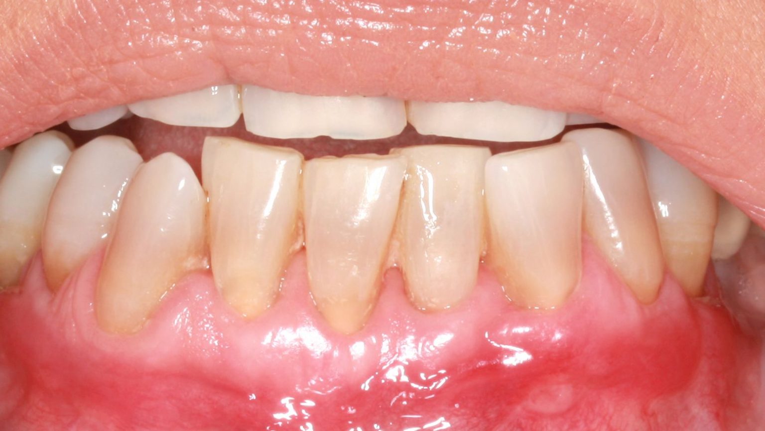
Se Puede Poner Ortodoncia Con Encías Retraídas, RECESIÓN de ENCÍA por ORTODONCIA ¿Tienes las encías RETRAÍDAS, 1.37 MB, 01:00, 45,220, Dentalk!, 2022-07-04T19:45:00.000000Z, 3, Encías retraídas: tratamiento novedoso SIN SUTURAS, clinicapadros.es, 1536 x 866, jpeg, WebEste tratamiento consiste en extraer un trozo de tejido conectivo del paladar del paciente e introducirlo en el espacio que dejó la encía retraída. Con el tiempo el injerto de tejido cicatriza y poco a poco se va modelando la encía hasta que se. , 20, se-puede-poner-ortodoncia-con-encias-retraidas, Novedades y Muebles WebEste tratamiento consiste en extraer un trozo de tejido conectivo del paladar del paciente e introducirlo en el espacio que dejó la encía retraída. Con el tiempo el injerto de tejido cicatriza y poco a poco se va modelando la encía hasta que se.

WebORTODONCIA: esta suele ser la causa más común de las retracciones de encías por las cuales suelen acudir los pacientes. Después de llevar ortodoncia, ya sea. WebLa ortodoncia puede ser dolorosa, se ejercen fuerzas sobre los dientes y esto genera una presión a la cual no estamos acostumbrados. Es normal que la sientas una vez que te.

Se Puede Poner Ortodoncia Con Encías Retraídas

WebAnte un estado critico de tus encías retraídas, la cirugía estética periodontal se presenta como la única solución. Dentro de las técnicas empleadas para devolver a tu encía una. WebEn esta sencilla cirugía remodeladora, las encías se perfilan y se alinean, para que su línea sea regular y su tamaño no sea desproporcionado en comparación a las piezas. WebRECESIÓN de ENCÍA por ORTODONCIA ¿Tienes las encías RETRAÍDAS?¿Has llevado un tratamiento de ortodoncia y tus encías se han retraído dejando parte de la raíz... WebLas encías retraídas también pueden surgir a consecuencia de tratamientos de ortodoncia que no han sido bien planificados. Antes de someterte a una ortodoncia, con brackets o. WebEs un hecho que las encías retraídas causan complicaciones si se quiere poner implantes dentales. Sin embargo, con una evaluación dental adecuada, su.

WebDesde el punto de vista diagnóstico debemos registrar las encías retraídas y relacionarlo con la altura del hueso alveolar interproximal. Las causas de las encías. WebOtro de los tratamientos para solucionar la retracción de encías es una técnica quirúrgica que ofrece muy buenos resultados, el injerto. Para ello se extrae un poco de.

WebEs un hecho que las encías retraídas causan complicaciones si se quiere poner implantes dentales. Sin embargo, con una evaluación dental adecuada, su. WebUsa pasta y colutorio para encías retraídas. El momento de lavarse los dientes puede ser realmente molesto para quienes tienen encías retraídas, por culpa de la sensibilidad.

close