Novedades y Muebles | Varios tipos de noticias y varias reseñas
Se Me Ha Roto Un Trozo De Esmalte Del Diente, Que hacer cuando se FRACTURA un DIENTE!!, 9.29 MB, 06:46, 165,015, Ortodoncia MVM Tratamiento Dental Especializado, 2020-08-27T20:02:01.000000Z, 3, Enamel Decay: Do You Have Enamel Erosion? | LISTERINE® Middle East, www.listerine-me.com, 1314 x 740, jpeg, WebPérdida de esmalte puede estar asociada con la pérdida de los dientes y puede acompañarse con una serie de síntomas como el dolor. Nuestros dentistas expertos. WebComo hemos visto, todos los dientes rotos tienen solución, incluso los casos más severos. Aunque para ello sea necesario aplicar técnicas complejas. Las. , 20, se-me-ha-roto-un-trozo-de-esmalte-del-diente, Novedades y Muebles WebPérdida de esmalte puede estar asociada con la pérdida de los dientes y puede acompañarse con una serie de síntomas como el dolor. Nuestros dentistas expertos. WebComo hemos visto, todos los dientes rotos tienen solución, incluso los casos más severos. Aunque para ello sea necesario aplicar técnicas complejas. Las.
WebSi el diente roto es un diente permanente, aplica una pequeña cantidad de algodón o una gasa sobre el área para detener el sangrado. Si el diente roto es un diente temporal, no.
Dentista muestra cómo el alcohol daña el esmalte de los dientes
Source: www.mientrastantoenmexico.mx
Toma esta medicina y tus dientes empezaran a repararse por sí mismos y
Source: tusalud05.blogspot.com
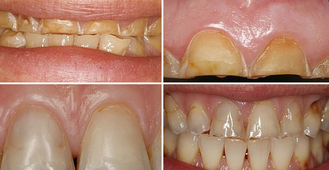
WebLa fractura un diente puede ser desde un pequeño trozo de esmalte, que puede no tener ninguna afectación estética ni de compromiso de supervivencia del mismo, a una. WebComo hemos dicho, lo primero es mantener la calma y localizar la pieza o piezas del diente que se hayan roto. Una vez los tenemos debemos lavarlos con agua. WebLa fractura un diente puede ser desde un pequeño trozo de esmalte, que puede no tener ninguna afectación estética ni de compromiso de supervivencia del mismo, a una. WebSi se te ha roto un diente se puede deber a: Caries profunda : en este caso puede que aparezca un fuerte dolor y sea necesaria la ingesta de analgésicos y. WebTu dentista puede proponerte soluciones como estas: Reconstrucción del diente roto: si la rotura es leve, podría solucionarse con una reconstrucción con. WebLa avulsión implica la salida del diente completo (corona y raíz) del alveolo donde se sitúa. Puede darse en dientes temporales o definitivos. En dientes temporales. WebSobre los dientes rotos, hay que valorar qué tipo de fractura es (parcial, complete, si ha afectado al nervio…) y determinar cuál es la pieza afectada..
WebCuando el diente se ha roto parcialmente, el odontólogo podrá repararlo mediante una reconstrucción estética con composite. Previamente, el profesional estudiará si la. WebEn el caso de que el diente se haya roto completamente, es decir, que la pieza mantenga su estructura intacta porque se ha arrancado de su alveolo, debes. WebCuando se te rompe un diente, tienes que intentar recoger la pieza dental o los trozos que encuentres y guardarlos. Y, si tienes ocasión, enjuagarte la boca.
WebLa avulsión implica la salida del diente completo (corona y raíz) del alveolo donde se sitúa. Puede darse en dientes temporales o definitivos. En dientes temporales. WebSobre los dientes rotos, hay que valorar qué tipo de fractura es (parcial, complete, si ha afectado al nervio…) y determinar cuál es la pieza afectada..