Novedades y Muebles | Varios tipos de noticias y varias reseñas

Rotura Menisco Externo Asa Cubo Experiencia Personal

Rotura Menisco Externo Asa Cubo Experiencia Personal, Rotura Menisco en Asa de Cubo: Cirugía (Artroscopia), 3.11 MB, 02:16, 23,716, Juan Arnal, 2018-03-23T16:23:10.000000Z, 3, Asa de Cubo - Diagnostico911.org, diagnostico911.org, 512 x 512, jpeg, WebLas roturas de menisco en “asa de cubo” provocan bloqueo de la rodilla al interponerse el fragmento roto entre el fémur y la tibia. Este tipo de roturas precisan. WebLa rotura en asa de cubo es una rotura vertical u oblicua del menisco en la que una parte del mismo se separa en forma de ojal, o de asa de cubo, con. , 20, rotura-menisco-externo-asa-cubo-experiencia-personal, Novedades y Muebles WebLas roturas de menisco en “asa de cubo” provocan bloqueo de la rodilla al interponerse el fragmento roto entre el fémur y la tibia. Este tipo de roturas precisan. WebLa rotura en asa de cubo es una rotura vertical u oblicua del menisco en la que una parte del mismo se separa en forma de ojal, o de asa de cubo, con.

WebBuenas noches, soy futbolista activo. Hace 5 años fui operado del ligamento cruzado el cual me colocaron un ligamento artificial, hace unos meses me rompí el menisco.

Rotura Menisco Externo Asa Cubo Experiencia Personal

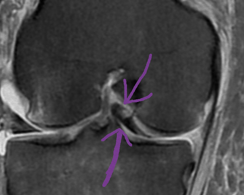
Web¿Qué síntomas produce una rotura de menisco? En el momento de la rotura el paciente siente un dolor vivo y con frecuencia un chasquido. En las horas siguientes la rodilla. WebLas roturas del menisco con asa de cubo comprenden casi el 10% de todas las roturas meniscales, afectando generalmente a población joven masculina. El desplazamiento. WebDiagnóstico. Un menisco desgarrado a menudo puede identificarse durante un examen físico. Es posible que el médico te coloque la rodilla y la pierna en diferentes. WebNo soy una persona que practique deporte a nivel élite, pero si deseo jugar de manera regular. PARTE MÉDICO: -Diagnóstico: rotura en ASA de cubo menisco medial.. WebHabitualmente basta con la exploración del médico para efectuar el diagnóstico, pudiendo confirmarlo una ecografía. Si la rotura es parcial el tratamiento es. WebUna rotura de menisco grave que afecta a la rodilla es la rotura en asa de cubo. Se trata de una lesión que provoca hinchazón y dolor y que puede dificultar. WebRotura en asa de cubo menisco interno se precisa cirugía urgente ya que provoca bloqueo de extensión de la rodilla. Realizamos sutura artroscópica con dos puntos fuera-dentro. WebHace 5 meses tuve una lesión que me provocó una rotura del menisco en asa de cubo. Altualmente me encuentro a la espera de visita con cirujano para programar operación..

WebRotura Menisco en Asa de Cubo: Cirugía (Artroscopia) 18,766 views Mar 23, 2018 https://traumatologomadrid.es/rotura-... ...more. ...more. 36 Dislike Share. Juan Arnal.. WebUna rotura del menisco puede ser el resultado de cualquier actividad que haga que te tuerzas o gires la rodilla con fuerza, como pivotes agresivos o paradas y. WebLa progresión de las roturas de menisco interno asociadas a roturas de ligamento cruzado anterior, típicamente roturas longitudinales-verticales que progresan a asa de cubo, esta.

WebRotura en asa de cubo menisco interno se precisa cirugía urgente ya que provoca bloqueo de extensión de la rodilla. Realizamos sutura artroscópica con dos puntos fuera-dentro. WebHace 5 meses tuve una lesión que me provocó una rotura del menisco en asa de cubo. Altualmente me encuentro a la espera de visita con cirujano para programar operación.. WebReparación artroscópica de una rotura en “asa de cubo” de menisco interno Microfracturas en escotadura intercondílea y aspirado de médula ósea para mejorar.

close