Novedades y Muebles | Varios tipos de noticias y varias reseñas
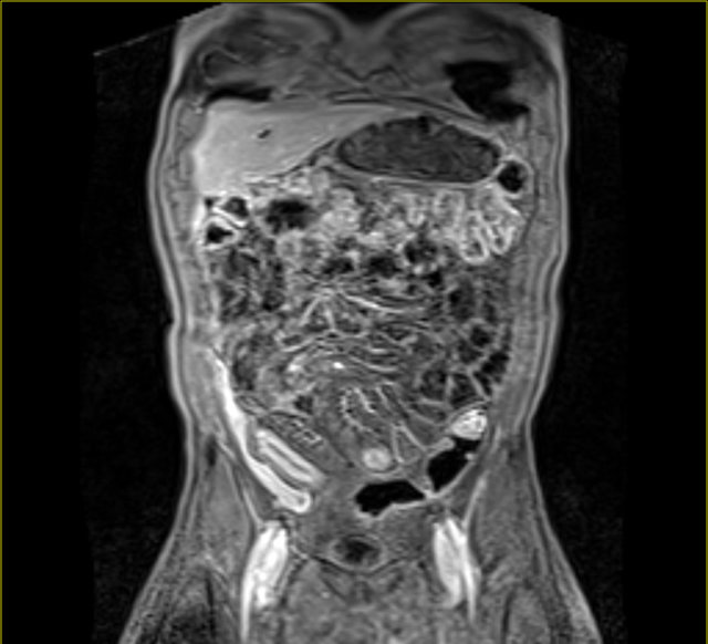
Resonancia Magnética Enfermedad Inflamatoria Intestinal, , , , , , , 0, EPOS™ - S-0978, epos.myesr.org, 1224 x 1863, jpeg, WebLa enfermedad inflamatoria intestinal (EII) comprende principalmente la colitis ulcerosa crónica idiopática (CUCI) o colitis ulcerosa, la enfermedad de Crohn (EC) y la colitis. WebLa resonancia magnética (RM) es una técnica de imagen que no utiliza radiación ionizante y permite identificar cambios inflamatorios en el intestino delgado y el colon, así como., 20, resonancia-magnetica-enfermedad-inflamatoria-intestinal, Novedades y Muebles WebLa enfermedad inflamatoria intestinal (EII) comprende principalmente la colitis ulcerosa crónica idiopática (CUCI) o colitis ulcerosa, la enfermedad de Crohn (EC) y la colitis. WebLa resonancia magnética (RM) es una técnica de imagen que no utiliza radiación ionizante y permite identificar cambios inflamatorios en el intestino delgado y el colon, así como.
WebLa enterografía por resonancia magnética (RM) es un estudio por imágenes que produce fotografías detalladas de su intestino delgado. Podría ayudar a su médico a diagnosticar. WebLa enfermedad inflamatoria intestinal es una patología crónica secundaria a una respuesta inmune no controlada en la mucosa gastrointestinal, con manifestaciones inespecíficas.
Source: epos.myesr.org
Radiología e imágenes diagnósticas - E.S.E. Hospital Departamental San
Source: hospitalpitalito.gov.co
WebEl objetivo de investigación de la Unidad de Enfermedad Inflamatoria Intestinal del Hospital Clínic de Barcelona es desarrollar una investigación traslacional que resulte en una. WebEl objetivo de la ENTERO – RM, también llamada RESONANCIA DE INTESTINO es visualizar las paredes del intestino, y poder determinar si presenta alguna. WebResonancia Magnética en el diagnóstico de las enfermedades intestinales. La Resonancia de Intestino también se llama Entero Resonancia y es una prueba. WebLa investigación de la EII se realiza a través del grupo de Enfermedad Inflamatoria Intestinal del IDIBAPS, dentro del Área de Hígado, Sistema digestivo y metabolismo. Las. WebEl objetivo del tratamiento de la enfermedad intestinal inflamatoria es reducir la inflamación que desencadena los signos y síntomas. En el mejor de los casos, podría. WebLos tipos de enfermedad inflamatoria intestinal incluyen: Colitis ulcerosa : esta condición causa una inflamación duradera y úlceras en el revestimiento del.
WebPacientes con dolor difuso, inespecifico , en fosas iliacas, evaluados por dolor abdominal, sacroilitis, alteraciones en caderas WebLa enfermedad inflamatoria intestinal (EII) representa un grupo de trastornos intestinales que causan inflamación prolongada del tracto digestivo.
WebEl objetivo del tratamiento de la enfermedad intestinal inflamatoria es reducir la inflamación que desencadena los signos y síntomas. En el mejor de los casos, podría. WebLos tipos de enfermedad inflamatoria intestinal incluyen: Colitis ulcerosa : esta condición causa una inflamación duradera y úlceras en el revestimiento del. WebEl diagnóstico de la enfermedad inflamatoria intestinal (EII) consta de una serie de parámetros clínicos y analíticos, así como de técnicas.