Novedades y Muebles | Varios tipos de noticias y varias reseñas
Quiste De La Cisura Coroidea Tratamiento, , , , , , , 0, PPT - PSEUDOLESIONES EN NEUROIMAGEN PowerPoint Presentation, free, www.slideserve.com, 1024 x 768, jpeg, WebThey are usually small and range around about 1-2 cm in diameter. Occasionally, larger cysts may be seen. The cysts are usually round on axial and coronal images, with a characteristic spindle or ovoid shape paralleling the long axis of the. WebQuiste de la cisura coroidea: Se trata de lesiones nodulares bien definidas con localización típica en la cisura coroidea (entre la fimbria del hipocampo y el diencéfalo). Webquiste_de_la_cisura_coroidea. Quiste ovoideo con bordes finos y que por su morfología y localización parecen originarse en la cisura coroidea (espacio entre la fimbria del. WebMe dieron el resultado de una resonancia magnética craneal, todo salió normal a excepción de dos quistes: Pequeño quiste de la cisura coroidea izquierda de 5,8 mm y quiste., 20, quiste-de-la-cisura-coroidea-tratamiento, Novedades y Muebles WebThey are usually small and range around about 1-2 cm in diameter. Occasionally, larger cysts may be seen. The cysts are usually round on axial and coronal images, with a characteristic spindle or ovoid shape paralleling the long axis of the. WebQuiste de la cisura coroidea: Se trata de lesiones nodulares bien definidas con localización típica en la cisura coroidea (entre la fimbria del hipocampo y el diencéfalo). Webquiste_de_la_cisura_coroidea. Quiste ovoideo con bordes finos y que por su morfología y localización parecen originarse en la cisura coroidea (espacio entre la fimbria del. WebMe dieron el resultado de una resonancia magnética craneal, todo salió normal a excepción de dos quistes: Pequeño quiste de la cisura coroidea izquierda de 5,8 mm y quiste.
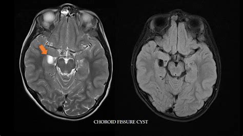
WebDISCUSIÓN. Los quistes que contienen LCR a nivel de fisura coroidea son lesiones embriológicas infrecuentes3). La fisura coroidea es la hendidura estrecha entre el. WebLa membrana se divide para formar la pared del quiste. Pueden ser primarios con localización habitual en la columna dorsal media o secundarios (sin localización.
Quiste de la hendidura coroidea como hallazgo incidental | Neurorecordings
Source: neurorecordings.com
WebQuiste Fisura Coroidea. Lo primero es definir lo que es la fisura coroidea. Corresponde a un espacio de LCR entre la fimbria del hipocampo y el diencéfalo. Generalmente. WebCisura coroidea. Espacio entre la fimbriadel hipocampoy el diencéfalo. ver quiste de la cisura coroidea. cisura_coroidea.txt. Última modificación: 2019/09/26. Web-Grupo tratamiento: Pacientes con glaucoma tratados durante más de 1 año con al menos 1 antiglaucomatosos por vía tópica. -Grupo control: Pacientes que no reciben ningún. WebQuiste cisura coroidea como hallazgo en TAC solicitado por cefalea. Descargar caso en PDF. Enviar caso a un amigo. Hombre | 42 años. Diagnóstico final: Quiste Cisura. WebAunque mejoran sin tratamiento, es posible eliminarlos con mayor rapidez a través de una inyección de corticoide local o cirugía. Los quistes epidermoides. WebEn caso de que surjan síntomas, se puede intentar controlarlos con medicamentos analgésicos, anticonvulsivos o para el mareo y las náuseas, prescritos. Web6) Quiste de la cisura (fisura) coroidea. La fisura coroidea es una estrecha hendidura de LCR entre el diencéfalo y la fimbria del hipocampo, conteniendo plexos coroideos.. WebA continuación, puedes ver ver un listado de opiniones sobre quiste cisura coroidea y opinar sobre este tema. Aquí podrás encontrar opiniones relacionadas con quiste cisura.
WebQuiste de la cisura (fisura) coroidea. La fisura coroidea es una estrecha hendidura de LCR entre el diencéfalo y la fimbria del hipocampo, conteniendo plexos coroideos. 19,20,21. WebLa mayoria de los quistes son extirpables. Debe consultarlo con un neurocirujano. Para determinar si el quiste es causal de una convulsion deben realizarle EEG y determinar. WebTratamiento: En los casos sintomáticos o lesiones que han alcanzado cierto tamaño, el tratamiento de elección será la resección quirúrgica. Esta puede realizarse por medio de.
Web6) Quiste de la cisura (fisura) coroidea. La fisura coroidea es una estrecha hendidura de LCR entre el diencéfalo y la fimbria del hipocampo, conteniendo plexos coroideos.. WebA continuación, puedes ver ver un listado de opiniones sobre quiste cisura coroidea y opinar sobre este tema. Aquí podrás encontrar opiniones relacionadas con quiste cisura. Web• Quiste de los plexos coroideos • Quiste de la cisura coroidea • Quistes aracnoideos (2%) • Quistes de la pineal (2 – 4%) • Lipoma del filum terminale • Quistes perineurales de.