Novedades y Muebles | Varios tipos de noticias y varias reseñas

Que Significa Senos Costofrénicos Libres

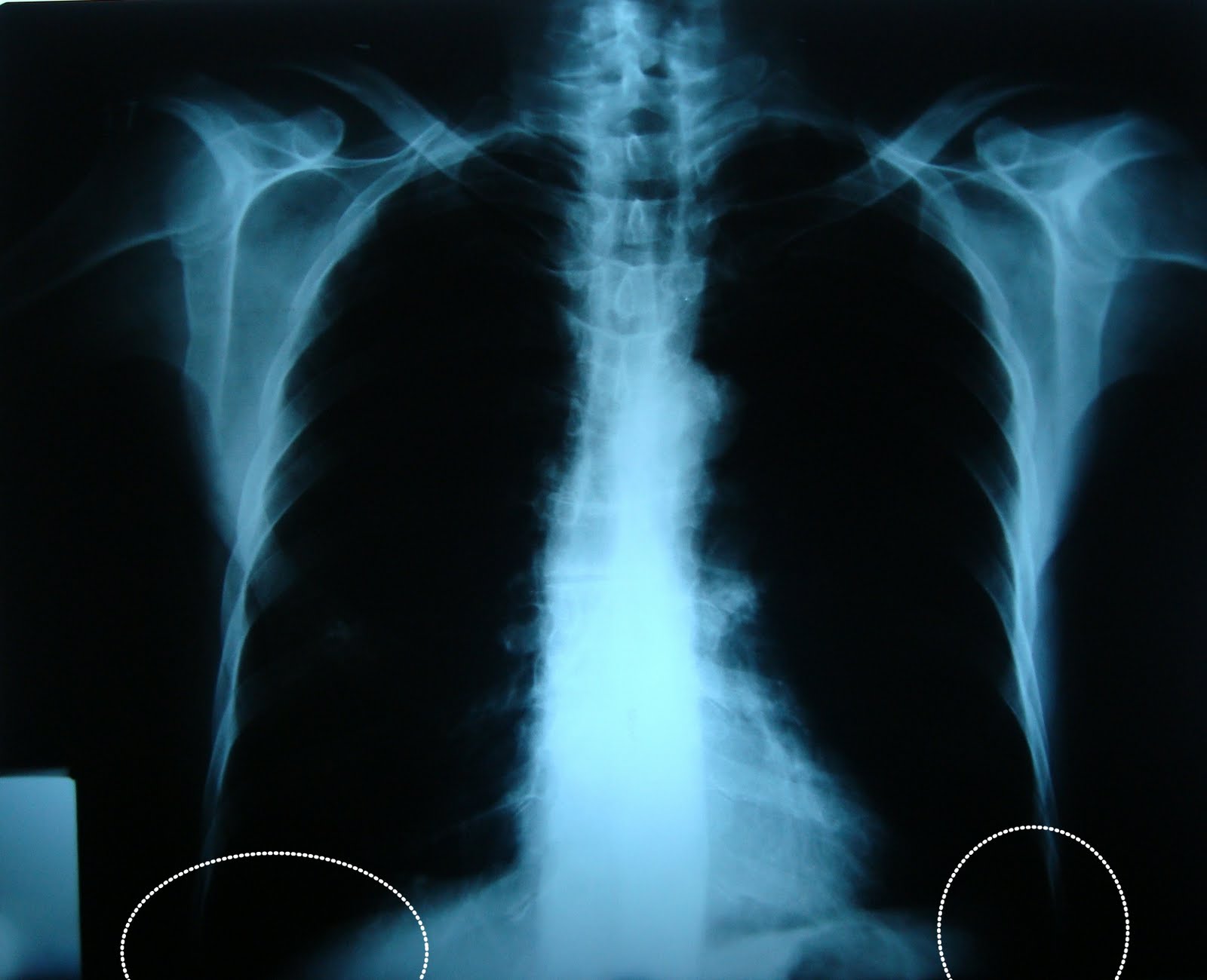
Que Significa Senos Costofrénicos Libres, , , , , , , 0, PPT - RADIOGRAFIA DE TORAX PowerPoint Presentation - ID:6360862, www.slideserve.com, 720 x 540, jpeg, WebSeno costofrénico = costophrenic angle. Es el espacio en la parte externa e inferior de la base de ambos campos pulmonares. Seno costodiafragmático = diaphragmatic angle. Es el espacio en la parte interna e inferior de ambos campos. WebSeno, es un espacio vacio, de ahi que se le diga "seno" a varias partes anatomicas del cuerpo que poseen un espacio. En inglés es angulo, porque es lo. WebSenos costofrénicos libres. No se aprecian imágenes de procesos evolutivos pulmonares focales. Aorta desenrollada. Relación cardiotorácica conservada.. WebLos senos costofrenicos deben estar libres y tener forma afilada. Si estan borrados habra que realizar placas en decubito lateral para ver si existe derrame. Senos costofrenicos., 20, que-significa-senos-costofrenicos-libres, Novedades y Muebles WebSeno costofrénico = costophrenic angle. Es el espacio en la parte externa e inferior de la base de ambos campos pulmonares. Seno costodiafragmático = diaphragmatic angle. Es el espacio en la parte interna e inferior de ambos campos. WebSeno, es un espacio vacio, de ahi que se le diga "seno" a varias partes anatomicas del cuerpo que poseen un espacio. En inglés es angulo, porque es lo. WebSenos costofrénicos libres. No se aprecian imágenes de procesos evolutivos pulmonares focales. Aorta desenrollada. Relación cardiotorácica conservada.. WebLos senos costofrenicos deben estar libres y tener forma afilada. Si estan borrados habra que realizar placas en decubito lateral para ver si existe derrame. Senos costofrenicos.

Webflujo a vértices. Senos costofrénicos libres. VI: volúmenes de fin de diástole, sístole, y espesor parietal conservados. Hipocinesia difusa con deterioro leve de la función. WebSENOS COSTO Y CARDIOFRENICOS DERECHOS LIBRES. 21:26 Jul 29, 2008: Traducciones de español a inglés [PRO] Medical - Medicina: Cardiología /.

Que Significa Senos Costofrénicos Libres

WebEn cuanto a los senos torácicos se describiría: “Senos costo y cardiofrénicos libres” o “senos costo y cardiodiafragmáticos libres”, entendiendo que son. WebLa palabra Costo se usa para describir enfermedades relacionadas con las costillas y la palabra frénica se usa para describir enfermedades cercanas al. WebMexico/Spanish. Nov 24, 2008. #1. Podria alguien ayudarme con el significado de SCF en el resultado de una radiografia del torax. El texto dice asi: Mala. WebAusência de velamentos ou consolidações no parênquima pulmonar. Diafragma bosselado e seios costofrênicos pouco agudos. Aorta alongada, tortuosa e ateromatosa.. Webcostophrenic / cardiophrenic. Explanation: Se refiere a los ángulos formados entre la caja torácica/costillas (costo) y el diafragma (frénico), y entre el corazón (cardio). WebA continuación, puedes ver ver un listado de opiniones sobre senos costofrenicos libres y opinar sobre este tema. Aquí podrás encontrar opiniones relacionadas con senos. WebAnswers & Comments. Anónimo. Verified answer. Es una parte no visible de tu cuerpo que es necesario ver a la hora de realizar una radiografia pulmonar. Saludos y Paz!

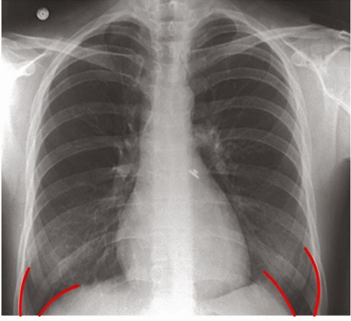
WebThis website uses cookies to improve your experience while you navigate through the website. Out of these cookies, the cookies that are categorized as necessary are stored. WebSe observan ambos senos costofrénicos libres y ausencia de signos de neumotórax. B) Radiografía realizada al tercer día de ingreso. Se observa cómo el ángulo costofrénico. Websenos costofrénicos. Inglés. costophrenic angle. Última actualización: 2012-07-25 Frecuencia de uso: 1 Calidad: Referencia: Wikipedia. Español. sen. Inglés. senna. Última.

WebA continuación, puedes ver ver un listado de opiniones sobre senos costofrenicos libres y opinar sobre este tema. Aquí podrás encontrar opiniones relacionadas con senos. WebAnswers & Comments. Anónimo. Verified answer. Es una parte no visible de tu cuerpo que es necesario ver a la hora de realizar una radiografia pulmonar. Saludos y Paz! WebAl parecer debe decir borramiendo del seno costofrénico, bueno eso significa que la pleura que cubre a tu pulmón derecho presenta un poco de líquido pero es mínimo y que.

close