Novedades y Muebles | Varios tipos de noticias y varias reseñas
Que Pasa Si Un Día No Llevo Invisalign, 7 meses usando invisalign, 375 kB, 00:16, 37,348, Claudia Dontologica, 2022-08-28T13:15:10.000000Z, 3, Things You Should Know About Invisalign, blog.flymedi.com, 1024 x 683, jpeg, WebOtras bebidas azucaradas o alcoólicas pueden deteriorar nuestros dientes. Es por ello recomendable quitarse las férulas Invisalign y así puedes beber lo que quieras con., 20, que-pasa-si-un-dia-no-llevo-invisalign, Novedades y Muebles WebOtras bebidas azucaradas o alcoólicas pueden deteriorar nuestros dientes. Es por ello recomendable quitarse las férulas Invisalign y así puedes beber lo que quieras con.
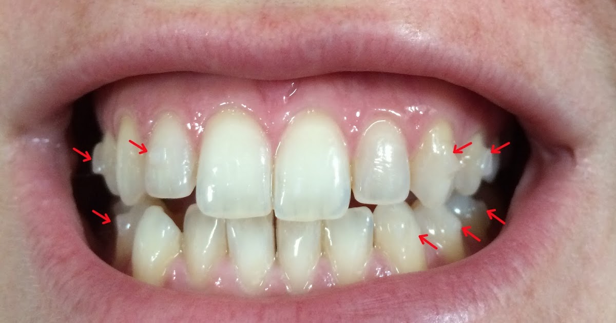
WebNo és normal que duelan tanto yo lo consultaria con el.odontologo ,en teoria dicen que són menos molestos que los brackerts ,entonces si duelen tanto ya los.
INVISALIGN... A la tercera va la vencida?: PRIMER DÍA DE INVISALIGN LITE!
Source: invisalite.blogspot.com
WebProcurar que las heridas estén bien limpias (haciendo enjuages y lavándome los dientes) para que no se infecten. Si duele, ibuprofeno. Si duele más de 3 días, acudir. WebUsa el Invisalign durante todo el día. Las molestias desaparecen cuando la boca se ha habituado al tratamiento de ortodoncia, es decir, con el paso del tiempo. Por. WebEso significa que el tratamiento puede durar un poco más. No puede cepillarse los dientes ni comer con los alineadores puestos, lo que significa que no. WebSi se cae un atache no pasa nada, simplemente te tendrás que poner en contacto con la clínica. La caída de los ataches no es motivo de urgencia, es decir, el. WebSí es cierto que a medida que pasan los días los alineadores transparentes van cogiendo algo de color blanquecino, pero al ir en los dientes es imperceptible, y. WebNo es para nada habitual que se rompa un alineador, pero puede suceder que por un golpe o alguna otra situación alguna de las férulas se quiebre. Lo primero que debes hacer es.
Web¿Qué es Invisalign? Es un tratamiento que consiste en llevar unos aligners extraíbles. En teoría son invisibles y realmente apenas se notan. El problema es cuándo. WebCualquier incomodidad o dolor por Invisalign es temporal y suele durar dos o tres días. Los estudios demuestran que los pacientes se acostumbran a usar los. Web¿Y qué pasa si no me quito Invisalign? Si fumas con la ortodoncia puesta, el aparato se acabará manchando, decolorándose y volviéndose mate. Esto hará.
WebNo es para nada habitual que se rompa un alineador, pero puede suceder que por un golpe o alguna otra situación alguna de las férulas se quiebre. Lo primero que debes hacer es. WebBorra las arrugas que el uso de la mascarilla anticontagios ha podido provocar en tu piel Este verano ya podrás mostrar de nuevo tu sonrisa sin mascarilla No esperes más para.
Source: Youtube.com