Novedades y Muebles | Varios tipos de noticias y varias reseñas
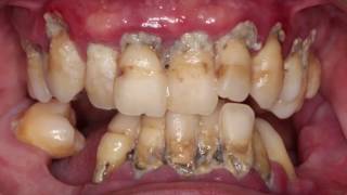
Que Es Una Tartrectomia Dental, Tartrectomía, 1.37 MB, 01:00, 25,003, frasaco GmbH ES, 2016-01-11T14:46:19.000000Z, 3, ¿Sabes que es la tartrectomía? Seguro que sí… pero con otro nombre, www.clinicadentalvallecas.es, 900 x 600, jpeg, WebEl sarro, también conocido como tártaro o cálculo, es una acumulación de placa bacteriana y minerales de la saliva, que se endurece. El sarro puede cubrir el. WebQué es una Tartrectomía. En odotontología hay muchos términos técnicos que casi solo usan los especialistas porque las personas han adoptado otros más sencillos. Esto es lo., 20, que-es-una-tartrectomia-dental, Novedades y Muebles WebEl sarro, también conocido como tártaro o cálculo, es una acumulación de placa bacteriana y minerales de la saliva, que se endurece. El sarro puede cubrir el. WebQué es una Tartrectomía. En odotontología hay muchos términos técnicos que casi solo usan los especialistas porque las personas han adoptado otros más sencillos. Esto es lo.
WebUna tartrectomía o detartraje dental es una técnica de higiene oral que llevamos a cabo en la clínica dental, mediante el uso de herramientas de limpieza muy potentes. Gracias a.
¿Sabes que es la tartrectomía? Seguro que sí… pero con otro nombre
Source: www.clinicadentalvallecas.es
¿Qué es y cómo se realiza una endodoncia? - Clínica Dental Gramadent
Source: www.clinicagramadent.com
¿En qué consiste una pulpectomía? - Clínica Dental Dra. Elena Roselló
Source: dentalerosellomayans.es
¿Qué es una tartrectomía y cuándo está indicada? - Estudi Dental Barcelona
Source: estudidentalbarcelona.com
WebLa tartrectomía es una técnica de limpieza dental profesional que nos permite eliminar tanto la placa bacteriana como el sarro de toda la superficie de los dientes, incluyendo. WebLa tartrectomía consiste en la eliminación de cálculo o “sarro” y depósitos de placa bacteriana alrededor de los dientes. Las bacterias orales, junto con restos de. WebLa tartrectomía es el nombre que se le da técnicamente a la limpieza o higiene dental. Este tratamiento puede ser realizado por el odontólogo o por la. WebTartrectomía o limpieza dental en…. Feb 19 2020. La tartrectomía tiene todas las ventajas para la salud. En pacientes con retracción gingival ( recesión de la encía), que estaba. WebLa tartrectomía o detartraje es el tratamiento que se conoce popularmente como limpieza dental y que consiste en eliminar el cálculo dental o sarro, las manchas superficiales en. WebLa tartrectomía es un tratamiento dental que tiene el objetivo de eliminar la placa bacteriana, el sarro y las manchas superficiales de los dientes. Por ejemplo, las. WebAhora sí, una tartrectomía es el tratamiento dental a través del cual se elimina el sarro, la placa bacteriana y las manchas más superficiales de los.
WebLa tartrectomía es el nombre técnico con el que se conoce a la limpieza dental que realiza el odontólogo, en la que se elimina el sarro, la placa bacteriana. WebLa tosca, també coneguda com a tàrtar o càlcul dental, és una acumulació de placa bacteriana i minerals de la saliva que s’endureix. La tosca pot cobrir l’exterior.
WebLa tartrectomía es un tratamiento dental que tiene el objetivo de eliminar la placa bacteriana, el sarro y las manchas superficiales de los dientes. Por ejemplo, las. WebAhora sí, una tartrectomía es el tratamiento dental a través del cual se elimina el sarro, la placa bacteriana y las manchas más superficiales de los.
Source: Youtube.com