Novedades y Muebles | Varios tipos de noticias y varias reseñas
Pistas De Composite Para Mordida Cruzada, Pista Direta para Mordida Cruzada Anterior, 1.99 MB, 01:27, 3,995, Dra. Janet Guevara, 2015-04-18T20:21:11.000000Z, 3, Caso clínico mordida cruzada anterior Pistas Composite | manuelroman.com, manuelroman.com, 800 x 554, jpeg, , 20, pistas-de-composite-para-mordida-cruzada, Novedades y Muebles
WebSuelen utilizarse para el tratamiento de la mordida cruzada posterior o para corregir compresiones maxilares y dentoalveolares. Pistas de Composite Tratamiento de la. WebResumo A mordida cruzada anterior é uma má oclusão frequentemente observada nas dentições decídua e mista, pode ser classificada em dentária, esquelética ou funcional..
Grupo de estudios odontológicos de Cuenca: Mordida cruzada anterior
Source: grupodentalcuenca.blogspot.com
Mordida Cruzada Posterior Derecha | Invisible Invisalign - Dr. Roman
Source: www.ortodonciamalaga.com
EXPERTOS EN ORTODONCIA EN NIÑOS EN MADRID - Clínica CRISTINA VIYUELA + CO
Source: cristinaviyuela.com
WebPistas Planas exigem certa habilidade e experiência no atendimento pediátrico, o que, muitas vezes, desesti-mula o uso da técnica por ortodontistas. Assim, o pre-sente artigo. Web1.1 Concepto de mordida cruzada posterior El término maloclusión hace referencia al inadecuado contacto entre los dientes de la arcada superior con los de la arcada inferior.. WebPISTAS DIRETAS DE PLANAS: ORTOPEDIA FUNCIONAL PARA MORDIDAS CRUZADAS. Consiste em correção de mordidas cruzadas através da. WebMordida cruzada posterior tratada con pistas de composite y elásticos de ortodoncia. Niño de 5 años con mordida cruzada posterior derecha de los caninos (5.3 y 8.3) y. WebMordida cruzada anterior tratada con pistas de composite y sin aparatos de ortodoncia. Paciente de 7 años de edad que presenta una mordida cruzada anterior del incisivo central izquierdo superior (2.1) con los incisivos central. WebAs pistas Planas, quando comparadas com os aparelhos ortopédicos e/ou ortodônticos convencionais, apresentam baixo custo, além de muitas outras vantagens, como não. Webtratamento. Conclui-se que as Pistas Diretas Planas foram eficazes para correção da mordida cruzada posterior unilateral, e é essencial salientar o fato de que esse procedimento pode ser realizado nos serviços públicos. Palavras-chave: má-oclusão, mordida cruzada, tratamento.
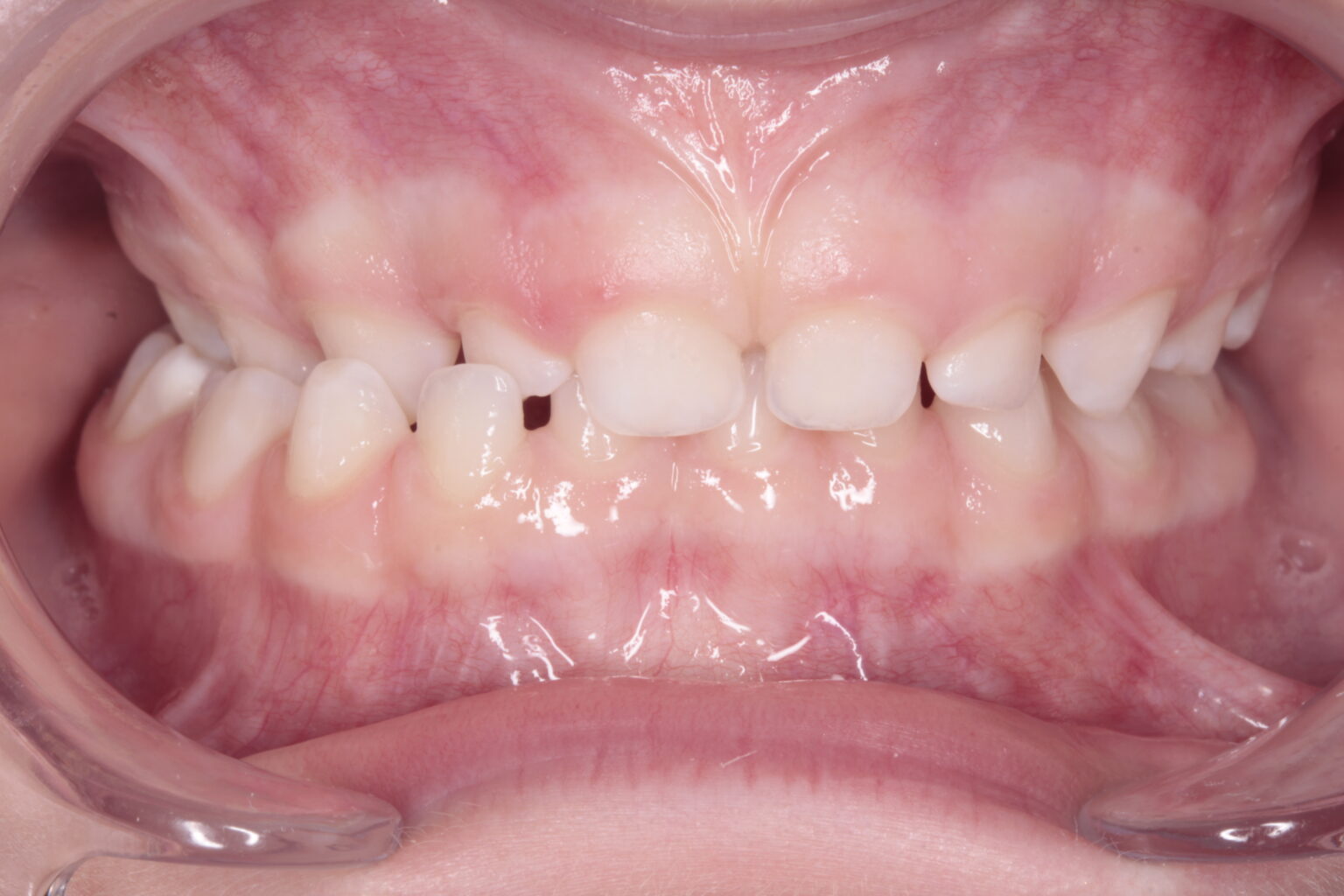
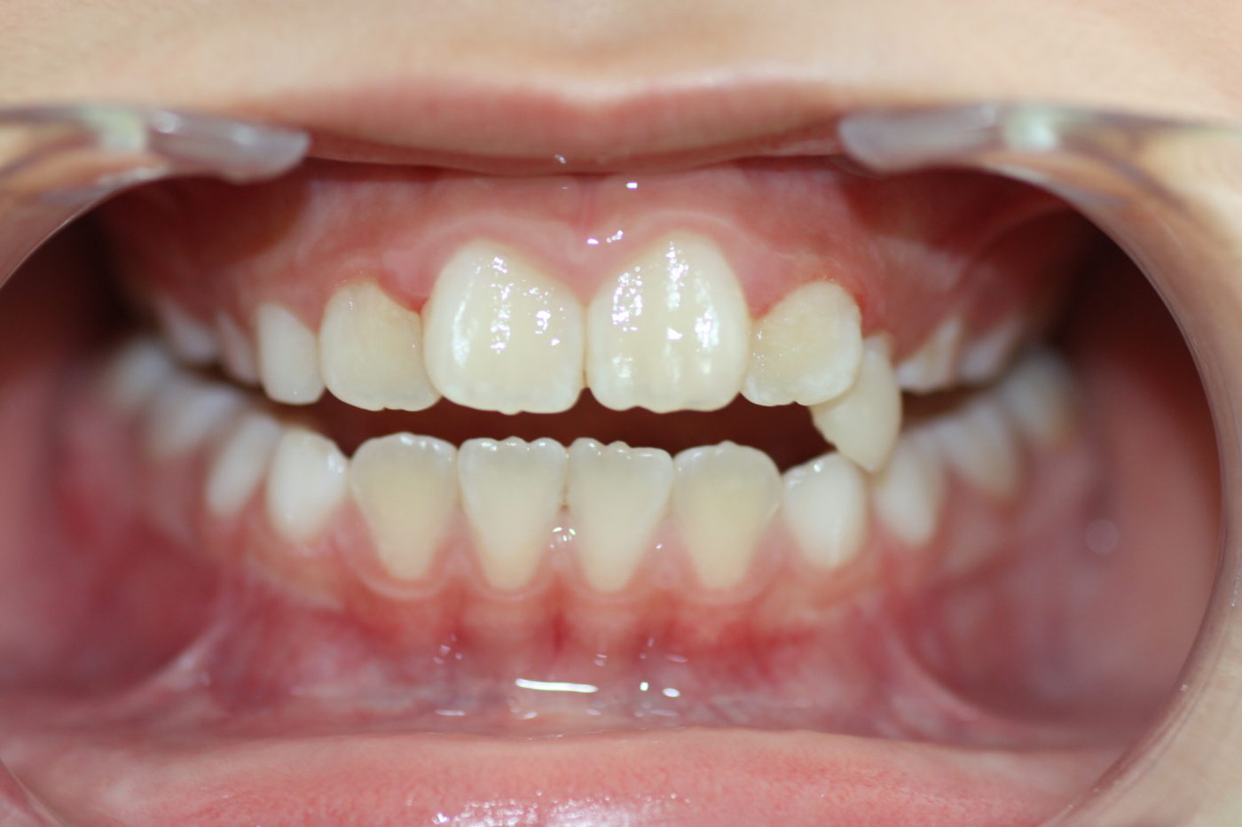
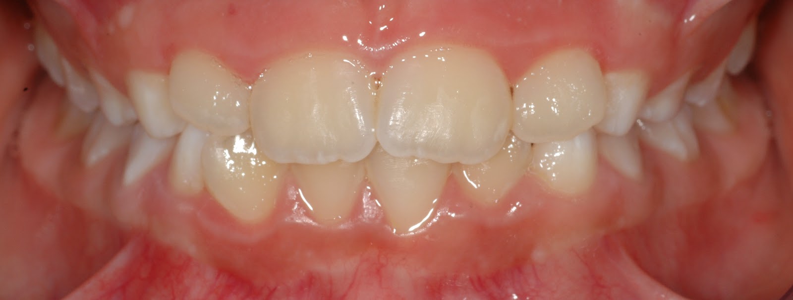
WebRequest PDF | Pista direta planas para tratamento de mordida cruzada anterior funcional – relato de caso | Anterior crossbite is a malocclusion frequently found. WebLas pistas directas planas reúnen esas características que las tornan ventajosas para la corrección de mordida cruzada. El objetivo de este trabajo fue. WebCaso clínico mordida cruzada anterior Pistas Composite – 01. Mordida cruzada anterior tratada con pistas de composite y sin aparatos de ortodoncia. Paciente de 7 años de.
WebAs pistas Planas, quando comparadas com os aparelhos ortopédicos e/ou ortodônticos convencionais, apresentam baixo custo, além de muitas outras vantagens, como não. Webtratamento. Conclui-se que as Pistas Diretas Planas foram eficazes para correção da mordida cruzada posterior unilateral, e é essencial salientar o fato de que esse procedimento pode ser realizado nos serviços públicos. Palavras-chave: má-oclusão, mordida cruzada, tratamento. WebPDF | On Jan 1, 2011, Jesus alberto Hernandez and others published Tratamiento temprano de la mordida cruzada anterior. Revision de la literatura | Find,.