Novedades y Muebles | Varios tipos de noticias y varias reseñas

Me Sangran Las Encias Al Cepillarme

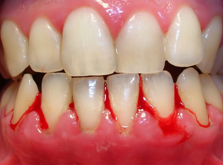
Me Sangran Las Encias Al Cepillarme, , , , , , , 0, ¿Por qué nos sangran las encías?, es.blastingnews.com, 1200 x 630, jpeg, WebSi al morder algo sangras o ves sangre al escupir después del cepillado, tómalo como una advertencia de que algo no va bien con tus encías. Porque, sencillamente, cuando se. WebCuando una encía sangra es que nos esta pidiendo ayuda a gritos, cuando comemos parte de la comida se introduce entre la encía y el diente, esto da lugar a la., 20, me-sangran-las-encias-al-cepillarme, Novedades y Muebles WebSi al morder algo sangras o ves sangre al escupir después del cepillado, tómalo como una advertencia de que algo no va bien con tus encías. Porque, sencillamente, cuando se. WebCuando una encía sangra es que nos esta pidiendo ayuda a gritos, cuando comemos parte de la comida se introduce entre la encía y el diente, esto da lugar a la.

WebLas principales causas de dolor en las encías son: 1. Mala higiene oral. Los malos hábitos de higiene oral, como la falta de cepillado o un cepillado con mucha fuerza, pueden. WebCómo tratar el sangrado de encías. 1. Cepillarse los dientes. Como decimos más arriba, es importante cepillarte los dientes 3 veces al día habiéndote pasado anteriormente el hilo.

Me Sangran Las Encias Al Cepillarme

WebPara poner remedio al sangrado de las encías debemos cepillarnos los dientes a conciencia, utilizando la seda dental para complementar una buena limpieza.. WebCualquier tipo de sangrado gingival nos está avisando de que existe una inflamación del tejido blando, provocada, normalmente, por la acumulación de placa bacteriana en la. Web¿Por qué me sangran las encías al cepillarme los dientes? El sangrado, enrojecimiento e inflamación de las encías está provocado por un cúmulo de placa bacteriana y sarro o. WebEl sangrado es un signo que nos indica que la encia esta enferma. La principal causa del sangrado es la acumulación de restos alimenticios blandos o sólidos en la unión de la. Webhttp://www.dentistasenmadrid.co El sangramiento de encias al momento de cepillarse se produce por varios factores, vea este video y obtendra la respuesta a ... WebLa inflamación de las encías es llamada Gingivitis y el sangrado es su principal síntoma. La causa principal de la Gingivitis es como mencionamos anteriormente acumulación de. WebNo es normal que sangren las encías al cepillarse los dientes. Precisamente, el sangrado de las encías es uno de los síntomas de la enfermedad periodontal. Si.

WebLa causa más común del sangrado de encías es una higiene bucal deficiente, que puede dar lugar a la acumulación de placa y bacterias, con la. WebAl contrario de lo que mucha gente puede pensar, el sangrado de encías al cepillarse no es normal. Sea de forma esporádica o de manera continua, no es un hecho que debas. Web“Si sangran las encías habitualmente, hay que ver la posible causa y aplicar el tratamiento que se considere necesario. Debe ser el dentista el que te aconseje el.

WebNo es normal que sangren las encías al cepillarse los dientes. Precisamente, el sangrado de las encías es uno de los síntomas de la enfermedad periodontal. Si. Web¿Qué sucede si me sangran las encías al cepillarme? El sangrado de encías puede estar ocasionado por la acumulación de placa bacteriana al rededor y a caballo entre los.

close