Novedades y Muebles | Varios tipos de noticias y varias reseñas
Me Puedo Lavar Los Dientes Después De Una Endodoncia, , , , , , , 0, Consejos para el cuidado bucal después de una endodoncia - Clínica, www.clinicabajo.com, 1200 x 565, jpeg, WebNo es cierto que los dientes a los que se les ha realizado una endodoncia se caigan. Lo que si que ocurre es que se vuelven más frágiles y se oscurecen un poco pues le quitamos., 20, me-puedo-lavar-los-dientes-despues-de-una-endodoncia, Novedades y Muebles WebNo es cierto que los dientes a los que se les ha realizado una endodoncia se caigan. Lo que si que ocurre es que se vuelven más frágiles y se oscurecen un poco pues le quitamos.
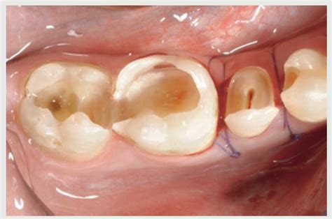
WebPuntos clave. La endodoncia es un tratamiento que consiste en limpiar el diente por dentro y rellenarlo de un material inerte. Puede mantener los dientes. WebDespués de una extracción dental, no limpie los dientes próximos a la cavidad dental en curación durante el resto del día. Sin embargo, debe cepillar y utilizar el hilo dental en.
Source: www.pinterest.jp
Endodoncista En Guadalajara - Salva Tu Diente O Muela, Evita El Dolor
Source: www.monitornutricional.com
¿Qué Cuidados hay que tener después de una Endodoncia? - Pleasant Mount
Source: pleasantmountpress.com
¿Cuál es la mejor manera de lavarse los dientes? - Muy Interesante
Source: www.muyinteresante.com.mx
Source: www.coedental.es
WebCuando hablamos de hacer una endodoncia o como se conoce comúnmente, matar el nervio del diente, lo que hacemos es eliminar el tejido dañado o. WebComo alternativa a esperar para cepillarse los dientes, puede tomar alimentos nutritivos bajos en carbohidratos y azúcar después de comer algo ácido. De este modo, reducirá. WebDespués de cada comida, cepíllate los dientes durante al menos 2 minutos y completa tu rutina con la limpieza de los espacios entre dientes usando sedas y cintas dentales.. WebSi hay hemorragia, usa agua fría. Una cucharadita de sal por vaso será suficiente y también puedes utilizar manzanilla. Es posible que tu dentista te recete un colutorio. WebDespués de la limpieza dental, debes seguir algunos cuidados específicos. Debido al procedimiento realizado, los dientes quedan sensibles. Por esta razón, para. WebEsa molestia puede venir por una elevada oclusión (que choque ligeramente antes ese diente que los demás), por un proceso común inflamatorio (del propio tratamiento), por. WebPara evitar infecciones dentales, cepíllate los dientes con normalidad, teniendo especial cuidado con el diente endodonciado. Desde Sevilla Dental,.
WebEsa molestia puede venir por una elevada oclusión (que choque ligeramente antes ese diente que los demás), por un proceso común inflamatorio (del propio tratamiento), por. WebPara evitar infecciones dentales, cepíllate los dientes con normalidad, teniendo especial cuidado con el diente endodonciado. Desde Sevilla Dental,. Web1. Anestesia local. Para empezar, es importante saber que el procedimiento, se realiza mediante anestesia localde la zona a tratar, por tanto, tras finalizar el tratamiento.