Novedades y Muebles | Varios tipos de noticias y varias reseñas
Maloclusión Clase 3 Sin Cirugía, Clase III. Prognacia Mandibular. Mandíbula Grande Adelantada. Sin Cirugía, 1.46 MB, 01:04, 22,198, Ventureira & Aguilera Ortodoncia, 2011-11-22T16:24:16.000000Z, 3, Nonsurgical Correction of Severe Skeletal Class III Malocclusion - JCO, www.jco-online.com, 902 x 824, jpeg, WebLa clase 3 es el tipo de maloclusión más compleja de diagnosticar y de tratar. Es la menos frecuente entre la población caucásica, con una prevalencia por. WebMaloclusión clase III esquelética tratamiento, ortodóncico-quirúrgico con ostetomía maxilar genioplastía mandibular reducción del mentón. Juliana Andrade Gómez, residente de., 20, maloclusion-clase-3-sin-cirugia, Novedades y Muebles WebLa clase 3 es el tipo de maloclusión más compleja de diagnosticar y de tratar. Es la menos frecuente entre la población caucásica, con una prevalencia por. WebMaloclusión clase III esquelética tratamiento, ortodóncico-quirúrgico con ostetomía maxilar genioplastía mandibular reducción del mentón. Juliana Andrade Gómez, residente de.
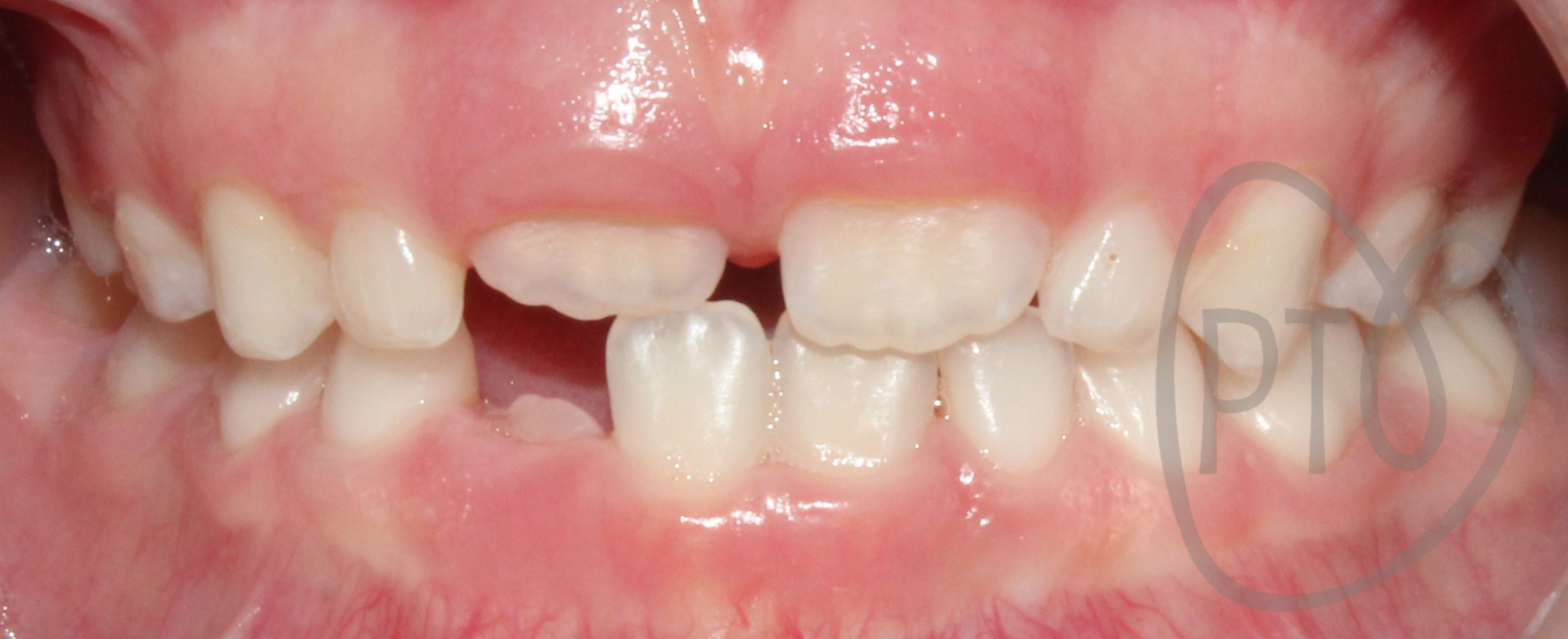
WebLa maloclusión clase III ha sido un tema de interés en muchas investigaciones, debido a los desafíos que implica el tratamiento. Cuando una relación de clase III es diagnosticada. WebLa mayoría de personas con maloclusiones clase III tienen problemas dentoalveolares y esqueléticos; es una minoría de casos los que podrían ser tratados sólo con ortodoncia;.
Clase III - Maloclusiones en Ortodoncia - Clínica Dental Larrañaga
Source: www.clinicadentallarranaga.com
WebLas malolcusiones Clase III son complejas de solucionar, dado que tienen características particulares muy concretas atendiendo a la causa, la edad y el nivel de gravedad. La. WebLa maloclusión de clase III se caracteriza por una posición más adelantada de la mandíbula inferior con respecto a la superior. Dentro del campo de la ortodoncia, podría. WebY a la maloclusión de clase III, dando un excelente resultado de engranaje en clase I. Lo más importante, hemos logrado cerrar la mordida y conseguir un equilibrio en la. WebMaloclusiones clase III y su tratamiento. octubre 12, 2014. Os compartimos una presentación en la que os explicamos las maloclusiones de clase III, su diagnostico. WebLas clase III es una maloclusión del plano anteroposterior. Se caracterizan por una posición más adelantada de la arcada inferior con respecto a la superior. De. WebQUIERES saber el MEJOR TRATAMIENTO para tu mordida INVERTIDA ?? 👇👇👇👇👇👇👇 Este es el video que debes ver.La Dra.Palma nos explica en este video todo lo ...
WebEn ortodoncia llamamos clase III a aquella alteración de la mordida en la que los dientes de la arcada superior muerden retrasados respecto a los dientes de la. WebCLASE III ESQUELÉTICA. El maxilar superior es pequeño o la mandíbula es demasiado grande o ambas cosas a la vez. Es un problema sobre todo de huesos y condicionará la.
WebQUIERES saber el MEJOR TRATAMIENTO para tu mordida INVERTIDA ?? 👇👇👇👇👇👇👇 Este es el video que debes ver.La Dra.Palma nos explica en este video todo lo ... WebLas maloclusiones de la Clase III son las menos comunes, pero suelen ser más complicadas de tratar y es más probable que requieran cirugía ortognática para una.