Novedades y Muebles | Varios tipos de noticias y varias reseñas
Limado De Dientes Para Carillas, , , , , , , 0, Estética dental - Centro Médico y Dental Dr. Lorente, dentallorente.com, 1500 x 1000, jpeg, WebEl limado de dientes tiene distintas aplicaciones en odontología, pero su principal aplicación es en ortodoncia. Se usa para reducir el ancho de los dientes y ganar espacio que permita alinear la dentadura dentro de la estructura natural de. WebLos dientes limados para carillas es una técnica que, a diferencia de lo que se puede pensar, no modifica la estructura del diente en exceso. Depende mucho del tipo de. WebLa enameloplastia o limado de dientes es la eliminación meticulosa de la capa externa de un diente para remodelarlo por numerosas razones, como arreglar la., 20, limado-de-dientes-para-carillas, Novedades y Muebles WebEl limado de dientes tiene distintas aplicaciones en odontología, pero su principal aplicación es en ortodoncia. Se usa para reducir el ancho de los dientes y ganar espacio que permita alinear la dentadura dentro de la estructura natural de. WebLos dientes limados para carillas es una técnica que, a diferencia de lo que se puede pensar, no modifica la estructura del diente en exceso. Depende mucho del tipo de. WebLa enameloplastia o limado de dientes es la eliminación meticulosa de la capa externa de un diente para remodelarlo por numerosas razones, como arreglar la.
Carillas Dentales Dientes Postizos Temporal Fundas Cosmetic | Meses sin
Source: articulo.mercadolibre.com.mx
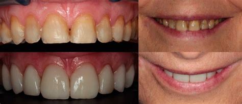
Carillas dentales en Sevilla - Carillas de Porcelana - Carillas de
Source: www.clinicadentalgarcelan.com
Source: www.pinterest.es
Carillas dentales, el truco para una sonrisa perfecta. - Clinicas Verdi
Source: www.clinicasverdi.com
WebEl limado de los dientes puede evitar la necesidad de extraerlos, especialmente en el caso de dientes superpuestos o cuando no hay espacio. WebColoca la lima de grano 80/80 de cartón contra el diente. Párate frente a un espejo para poder ver bien el diente que quieres limar, al igual que la lima. [8] Así como. WebEl principal objetivo de una rehabilitación de dientes anteriores es la armonía perfecta entre el tejido blando y el duro. La restauración mediante carillas laminadas de cerámica está. WebEn aquellos casos en los que la indicación de carillas sea por la necesidad de lograr un cambio volumétrico o morfológico del diente, como puede ser el posicionamiento lingual. WebDescubre en TikTok los videos cortos relacionados con limando dientes para carillas. Ve contenido popular de los siguientes autores: Simón Pardiñas López. WebEl procedimiento de limar dientes para igualarlos es totalmente indoloro y no requiere de anestesia previa para llevarlo a cabo. La cantidad de material dentario que se reduce no suele superar los 0,5mm entre diente y diente, lo que hace que se limite solamente a esmalte. No obstante, la sensación mientras se está llevando a cabo ...
WebPara preparar los dientes, el dentista generalmente retira una pequeña cantidad de esmalte de la parte frontal y los lados de los dientes. Esto deja espacio para las carillas para que. WebLimado de los dientes Para poder lucir una sonrisa radiante y bella es necesario una serie de factores tales como llevar una buena y constante higiene dental, evitar en la medida. WebRazones por las que se liman los dientes en Ortodoncia. Este proceso tiene como función limar los dientes de los pacientes entre sus puntos de contacto con el.
WebDescubre en TikTok los videos cortos relacionados con limando dientes para carillas. Ve contenido popular de los siguientes autores: Simón Pardiñas López. WebEl procedimiento de limar dientes para igualarlos es totalmente indoloro y no requiere de anestesia previa para llevarlo a cabo. La cantidad de material dentario que se reduce no suele superar los 0,5mm entre diente y diente, lo que hace que se limite solamente a esmalte. No obstante, la sensación mientras se está llevando a cabo ...