Novedades y Muebles | Varios tipos de noticias y varias reseñas
Injerto Encía Antes Y Después, , , , , , , 0, Injertos de Encía | Dra. María Angélica Núñez Núñez | Periodoncia e, www.implantesperiodoncia.com.mx, 2692 x 1150, png, WebEl implante de encía o implante de encía es un tejido blando extraído del propio paciente, del paladar o de la zona de la muela del juicio, por ejemplo, o generado. WebUn injerto de encía es un procedimiento quirúrgico que se realiza para corregir una falta de hueso o de encía en la boca. Esto se hace para que los dientes., 20, injerto-encia-antes-y-despues, Novedades y Muebles WebEl implante de encía o implante de encía es un tejido blando extraído del propio paciente, del paladar o de la zona de la muela del juicio, por ejemplo, o generado. WebUn injerto de encía es un procedimiento quirúrgico que se realiza para corregir una falta de hueso o de encía en la boca. Esto se hace para que los dientes.
WebEl injerto de encía es una técnica de cirugía plástica periodontal que consiste en extraer tejido de una zona donante de la boca (del paladar o la zona de la. WebCómo cicatriza un injerto de encía. Después de una cirugía de injerto de encía, es natural que la herida sanará y se formará un nuevo tejido. La nueva encía se.
Injertos de Encía | Dra. María Angélica Núñez Núñez | Periodoncia e
Source: www.implantesperiodoncia.com.mx
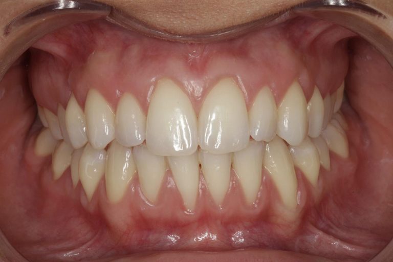
Caso de injerto de encía para solucionar recesión en incisivo inferior
Source: www.dentalnavarro.com
Source: www.pinterest.com
WebDESENREDA FÁCILMENTE: peina sin esfuerzo tu cabello después de usar el tratamiento sin aclarado que desenreda el cabello para que no se formen nudos FÁCIL DE USAR:. WebEl injerto de encía es una técnica que está creada de manera concreta para tratar este inconveniente, con la idea de poder remediar los daños que hayan surgido por esa. WebEl injerto de encía supone el freno al avance de la pérdida de tejido y reduce las posibilidades de padecer en un futuro movilidad dentaria o la pérdida de alguna de. WebAntes de la intervención es fundamental realizar una correcta limpieza dental y corregir la técnica de cepillado para enseñar a la paciente a limpiar sus dientes sin dañar las. WebUn injerto gingival (a veces llamado injerto gingival libre) no requiere la puerta trampa porque este procedimiento consiste en extraer el tejido de la capa. WebEl injerto de encía es una solución al movimiento de los dientes, pero que muy pocas personas se atreven a realizarse ya sea por que tienen miedo a la cirugía o simplemente. WebEl proceso del injerto de encía supone la extracción de diminutos tejidos del paladar o de otras zonas blandas de la boca para ser injertada en las zonas afectadas..
WebEl injerto de encía es una microcirugía que representa la mejor solución para recuperar la encía dañada, evitando posibles problemas que podrían derivarse de esta retracción.. WebEl injerto de encía es la solución más efectiva y accesible para solucionar esta problemática. Es una cirugía sencilla que permite recubrir las raíces expuestas y mejorar. WebEl injerto de encía es un tejido blando del propio paciente o de tejido artificial de colágeno que se utiliza para cubrir una raíz dental expuesta o para cubrir un implante.
WebEl injerto de encía es una solución al movimiento de los dientes, pero que muy pocas personas se atreven a realizarse ya sea por que tienen miedo a la cirugía o simplemente. WebEl proceso del injerto de encía supone la extracción de diminutos tejidos del paladar o de otras zonas blandas de la boca para ser injertada en las zonas afectadas..