Novedades y Muebles | Varios tipos de noticias y varias reseñas

Fundas De Zirconio Antes Y Despues

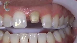
Fundas De Zirconio Antes Y Despues, TRATAMIENTO PASO a PASO con CORONAS DE ZIRCONIO para NO tener problemas en el futuro del tratamiento, 28.93 MB, 21:04, 47,563, TU DENTISTA VIRTUAL, 2021-11-28T20:00:00.000000Z, 3, coronas_fundas_zirconio_almeria_dentista_estetica_dental - MIBO ALMERÍA, www.miboalmeria.es, 1532 x 798, png, WebFundas de zirconio antes y después. Los motivos para el empleo del material zirconio para elaborar fundas los acabamos de conocer a nivel de los. WebLas coronas de zirconio son las fundas dentales catalogadas como las más estéticas que existen actualmente. Esto es debido a que están hechas 100% de. WebLas fundas dentales de zirconio permiten mantener la homogeneidad en el color de las piezas, puesto que están hechas 100% de zirconio, es decir, libres de. WebLas fundas de zirconio son uno de los tipos de coronas que existen en el mercado. Se han popularizado mucho en los últimos años debido a que los pacientes cada vez buscan., 20, fundas-de-zirconio-antes-y-despues, Novedades y Muebles WebFundas de zirconio antes y después. Los motivos para el empleo del material zirconio para elaborar fundas los acabamos de conocer a nivel de los. WebLas coronas de zirconio son las fundas dentales catalogadas como las más estéticas que existen actualmente. Esto es debido a que están hechas 100% de. WebLas fundas dentales de zirconio permiten mantener la homogeneidad en el color de las piezas, puesto que están hechas 100% de zirconio, es decir, libres de. WebLas fundas de zirconio son uno de los tipos de coronas que existen en el mercado. Se han popularizado mucho en los últimos años debido a que los pacientes cada vez buscan.

WebLas fundas dentales de porcelana son prótesis fijas cementadas que se instalan encima de los dientes naturales para corregir su forma. Estas los envuelven por.

Fundas De Zirconio Antes Y Despues

WebFundas Dentales Antes Y Despues. Una funda dental es lo que se llama coloquialmente una corona dental artificial, la cual se coloca sobre la corona del diente natural tallada. WebTodo genial, excelente servicio y cuidado, y fundas de zirconio antes y despues son justo lo que necesitaba. Alberto Martín. Logré conseguir aquí el fundas de zirconio antes y. Webfundas dentales antes y despuÉs TRATAMIENTO REALIZADO AL PACIENTE En este caso se aplicó un técnica novedosa, la cual consigue por un lado recuperar el nivel de encía. WebEL zirconio, a parte del doble de caro es mas resistente y mas estetico; no porque las de metal no sean esteticas, que son de porcelana, pero con los años la encia. WebLas fundas de zirconio, se tratan de una capa bastante resistente, que consigue recubrir rápidamente y de manera bastante efectiva y segura a las piezas. WebLas coronas dentales de zirconio son ideales para complementar un diseño de sonrisa. Las coronas dentales son fundas que se coloca sobre un diente o implantes. La corona. WebCarillas zirconio antes y después. Antes de someterse a un tratamiento de colocación de carillas de zirconio, es importante que el profesional haya realizado un análisis del caso. WebCarillas de porcelana famosos antes y después. Son un tipo de carillas con grosor de 0,8 a 1,5 milímetros, siendo las más utilizadas por los famosos del cine,.

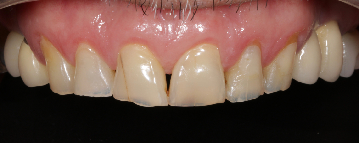
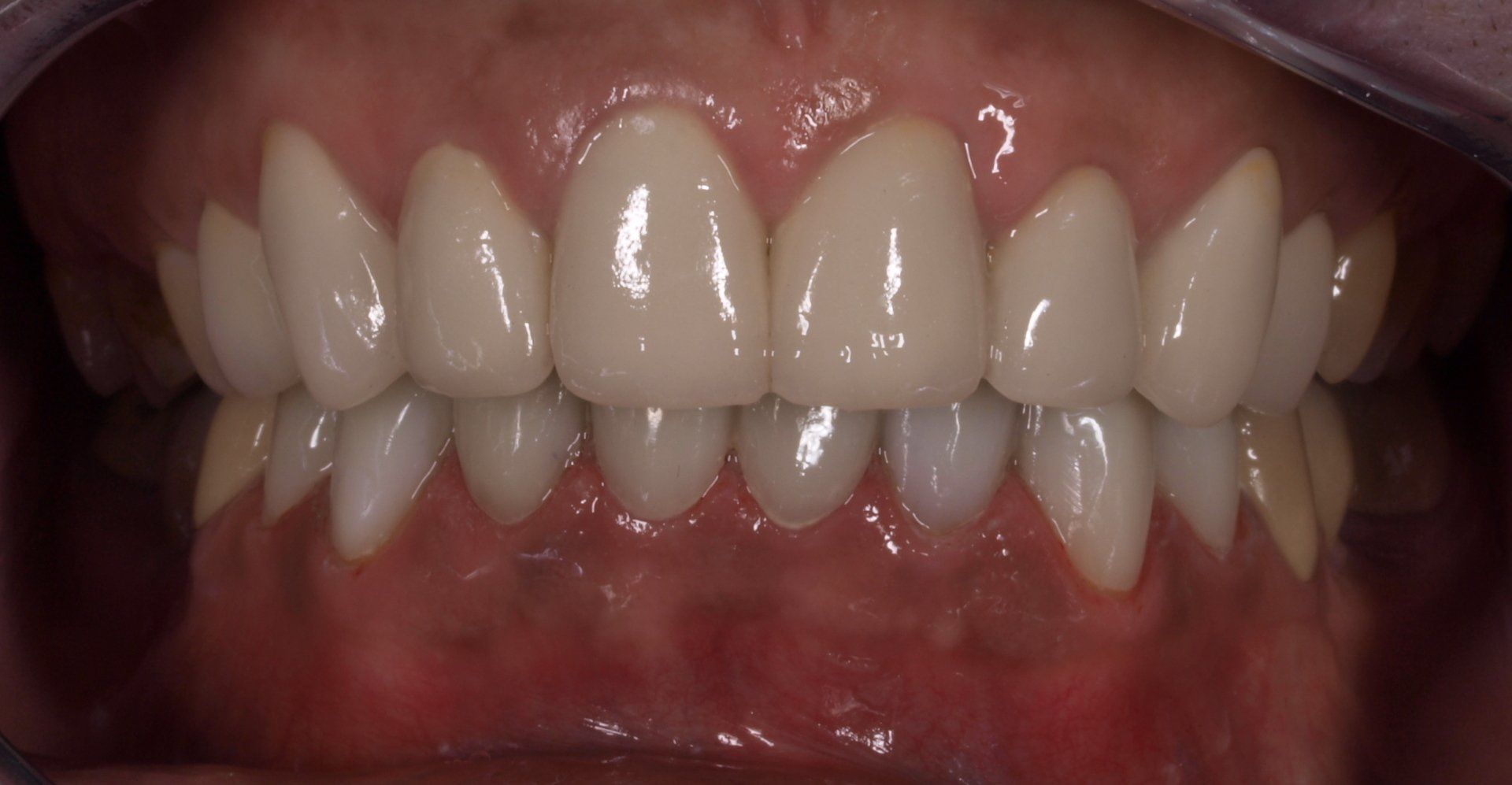
WebLas coronas de zirconio son fundas dentales confeccionadas totalmente de zirconio, un material biocompatible que está libre de metales oscuros como los encontrados en. WebAntes y después del tratamiento Paciente de 54 años que acude para mejorar el aspecto de sus fundas o coronas antiguas y para mejorar su mordida. Tras la extracción de las. WebVentajas de las fundas de zirconio. También conocidas como fundas sin metal, la principal ventaja de estas coronas es el material. El zirconio ha permitido.

WebCarillas zirconio antes y después. Antes de someterse a un tratamiento de colocación de carillas de zirconio, es importante que el profesional haya realizado un análisis del caso. WebCarillas de porcelana famosos antes y después. Son un tipo de carillas con grosor de 0,8 a 1,5 milímetros, siendo las más utilizadas por los famosos del cine,.

close