Novedades y Muebles | Varios tipos de noticias y varias reseñas
Frenillo Del Labio Superior Roto, , , , , , , 0, Mama Pediatra y Más: Se ha roto el frenillo labial...¿Qué hacer?, mamapediatraymas.blogspot.com, 1200 x 630, jpeg, WebEl frenillo del labio superior es frecuente causa de traumatismo y además de sangrado. Es un accidente bastante común en niños ya que con un simple golpe durante el juego. WebEl frenillo del labio superior ( [ TA]: frenulum labii superioris) es uno de los diversos frenillos ubicados dentro de la cavidad oral. Su función es la de sostener el labio superior. Ilustración de la boca (frenillo del labio superior visible arriba en el centro). WebEl frenillo labial superior es un repiegue de la mucosa bucal que va de la cara interna del labio hasta la encía. Un frenillo labial de inserción baja puede ocasionar problemas estéticos o la alteración en la pronunciación de algunas letras., 20, frenillo-del-labio-superior-roto, Novedades y Muebles WebEl frenillo del labio superior es frecuente causa de traumatismo y además de sangrado. Es un accidente bastante común en niños ya que con un simple golpe durante el juego. WebEl frenillo del labio superior ( [ TA]: frenulum labii superioris) es uno de los diversos frenillos ubicados dentro de la cavidad oral. Su función es la de sostener el labio superior. Ilustración de la boca (frenillo del labio superior visible arriba en el centro). WebEl frenillo labial superior es un repiegue de la mucosa bucal que va de la cara interna del labio hasta la encía. Un frenillo labial de inserción baja puede ocasionar problemas estéticos o la alteración en la pronunciación de algunas letras.
WebLa rotura del frenillo es un motivo relativamente frecuente de consulta en la sala de urgencias de un hospital. Si te ocurriera, lo que debes hacer es retir ar el. WebFrenillo labial superior roto, ayuda!: Al frenillo del labio inferior, es uno de los diversos frenillos ubicados dentro de la cavidad oral; El frenillo labial es un pliegue que.
Mama Pediatra y Más: Se ha roto el frenillo labial...¿Qué hacer?
Source: mamapediatraymas.blogspot.com
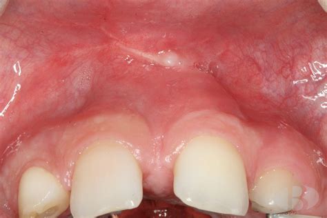
FRENILLO LABIAL superior - CLÍNICA DENTAL José María Sanchez Vicente
Source: www.clinicadentaljmsanchez.com
WebFrenillo labial superior Es un repliegue fibroso de mucosa que va desde la cara interna del labio superior y se inserta en la encía hasta el paladar. Puede estar presente tanto en niños como en adultos, llegando a adoptar diferentes formas. WebFrenillo labial superior. El frenillo labial superior es un repliegue de la mucosa bucal que parte de la cara interna del labio y va a insertarse sobre la línea media de la encía. WebEste frenillo va desde el labio superior hasta la línea media del maxilar.Los problemas que ocasiona son principalmente diastemas, o dicho de forma coloquial, una separación entre las paletas superiores. Sin embargo, también acarrea problemas como:-Limitación de los movimientos del labio superior. WebEl frenillo del labio superior ( [TA]: frenulum labii superioris) es uno de los distintos frenillos ubicados en la cavidad oral. Su función es la de mantener el labio superior.. WebFrenillo Labial Inferior. El frenillo en el labio inferior ocasiona muchas menos alteraciones que el superior. El tratamiento quirúrgico está indicado cuando produce retracción de la encía por tracción del labio, o gingivitis por dificultad. WebEl frenillo del labio superior es frecuente causa de traumatismo y además de sangrado. Es un accidente bastante común en niños ya que con un simple golpe... WebFrenillo Labial Superior Roto, ayuda! Hola mamitas, les escribo apenada ya que mi bebe de 14 meses ayer por la tarde se cayó de las gradas y se le ha roto el. WebEl frenillo labial superior es una banda de tejido fibroso que parte de la cara interna del labio y va a insertarse sobre la línea media de la encía adherida.
WebTratamiento para la rotura del frenillo del labio superior. El frenillo no tiene una función precisa, por lo que se aconseja dejar que la lesión desaparezca de. Web¿Qué es el frenillo roto? El frenillo del pene une el prepucio con el glande. Es como una tira de tejido que los comunica. Eso hace que si bajo el prepucio, el frenillo «tire» del. WebEl frenillo labial es un tipo de tejido conectivo fibroso responsable de mantener la encía unida con el labio. De hecho, tenemos dos frenillos labiales, uno que conecta el labio.
WebFrenillo Labial Superior Roto, ayuda! Hola mamitas, les escribo apenada ya que mi bebe de 14 meses ayer por la tarde se cayó de las gradas y se le ha roto el. WebEl frenillo labial superior es una banda de tejido fibroso que parte de la cara interna del labio y va a insertarse sobre la línea media de la encía adherida. WebMi niño de 21 meses ayer se dio un golpe y se rompió el frenillo labial superior. El pediatra me dio que lo dejase estar, que no hay que hacer nada y que no me.