Novedades y Muebles | Varios tipos de noticias y varias reseñas
Fractura Maleolo Peroneo Sin Desplazamiento, MALÉOLO PERONEO | Qué es, significado, ubicación, función y lesiones, 4.03 MB, 02:56, 12,945, FisioOnline, 2020-12-15T19:13:43.000000Z, 3, Do You Need an Ankle X-Ray? - Therapydia Portland, therapydiaportland.com, 2000 x 905, jpeg, WebLa fractura del tobillo es una lesión relativamente frecuente. Se caracteriza por la ruptura de la prominencia ósea en la parte externa (tercio distal del. WebFractura no desplazada maléolo peroneo D Mi hija el día 03-03-12 se fracturo el maléolo peroneo sin desplazamiento y el han puesto una férula suropédica. Le estamos., 20, fractura-maleolo-peroneo-sin-desplazamiento, Novedades y Muebles WebLa fractura del tobillo es una lesión relativamente frecuente. Se caracteriza por la ruptura de la prominencia ósea en la parte externa (tercio distal del. WebFractura no desplazada maléolo peroneo D Mi hija el día 03-03-12 se fracturo el maléolo peroneo sin desplazamiento y el han puesto una férula suropédica. Le estamos.
WebAsumiendo que se trata de una fractura no quirúrgica, hay que mantener el tobillo inmovilizado, en descarga y con yeso hasta que se produzca la consolidación de la. WebLas fracturas de tobillo son una de las fracturas más comunes de las extremidades inferiores y alrededor del 9% de todas las fracturas. A veces, el maléolo.
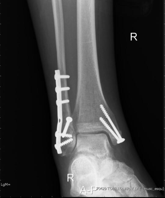
Fractura del maléolo externo del tobillo, peroné, cerrada, rehabilitacion
Source: fisioterapiaparatodos.com
Fractura en la metáfisis distal del peroné y ligamentos del tobillo
Source: www.dorantesortopedia.com
WebAnatomía interactiva. El tobillo está conformado por diferentes zonas anatómicas esenciales para que podamos caminar y desplazarnos. Existen dos zonas prominentes en el tobillo. WebLa fractura puede desplazarse, si es el caso, debe corregirse quirúrgicamente. Pseudoartrosis, esto significa que aún no existe una conexión ósea estable entre los. WebLas fracturas de tobillo se producen en el maléolo medial o posterior de la tibia y/o el maléolo lateral del peroné. Estas fracturas pueden ser estables o inestables.. WebUna fractura se puede clasificar según la ubicación de los fragmentos óseos en: Compuesto: tras la fractura, los fragmentos óseos no sufren desplazamientos con. WebEn esas fracturas se recomienda no cargar la pierna 4-6 semanas. Aunque el mayor riesgo de desplazamiento se produce en las 3 primeras semanas, es posible que se haya. WebEl tiempo de recuperación de una fractura de maleolo peroneal sin desplazamiento suele ser de entre 6 a 12 semanas. ¿Cuánto tarda en curar una fractura de maleolo externo? A. WebFractura del maléolo externo del peroné sin desplazamiento apoyar pie. El 15/11/2013 hace hoy 16 días me fracturé el maléolo externo del peroné sin deplazamiento. Me.
WebMe hice una fractura del perone por el meleolo sin desplazamiento. En principio y en verdad es donde mas descanse, estuve 5 dias hospitalizada con hielo etc.. WebDe hecho, aunque tuvieras la movilidad completa del tobillo y la fuerza de los diferentes grupos musculares de la región fuera competente (normalmente tras 6. WebLa lesión sindesmal en el seno de una fractura de tobillo plantea un reto tanto en el diagnóstico como en la toma de decisiones en cuanto a la necesidad de reducción y el.
WebFractura del maléolo externo del peroné sin desplazamiento apoyar pie. El 15/11/2013 hace hoy 16 días me fracturé el maléolo externo del peroné sin deplazamiento. Me. WebUna fractura de maléolo siguiente es una fractura de la parte posterior de la tibia en la articulación del tobillo. En la mayoría de los casos de fractura de maléolo.