Novedades y Muebles | Varios tipos de noticias y varias reseñas
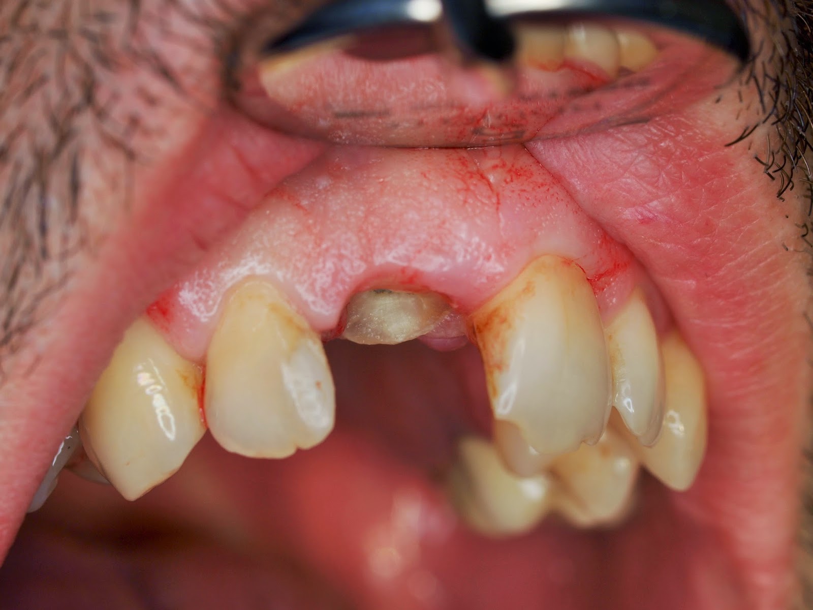
Extraccion De Dientes Con Periodontitis, Extracción Dental de un Molar con Periodontitis, 2.04 MB, 01:29, 4,035, Consultorio Dentalife, 2018-09-18T22:51:00.000000Z, 3, Contraindicaciones de las extracciones dentales ¿Cuándo no extraer?, www.propdental.es, 900 x 596, jpeg, WebExtracción de dientes con periodontitis. Una extracción de dientes con periodontitis se lleva a cabo cuando la patología periodontal ha dañado de forma nociva una pieza dental, causando una necrosis del tejido pulpar. En la mayoría de los casos, un. WebHay varias razones por las que las personas se extraen dientes: Una infección profunda en un diente (absceso) Dientes aglomerados o dientes colocados incorrectamente;. WebLa relación de los dientes inferiores con un nervio de la mandíbula que le da sensibilidad a la mandíbula, los dientes inferiores, el labio inferior y el mentón. Este nervio se llama., 20, extraccion-de-dientes-con-periodontitis, Novedades y Muebles WebExtracción de dientes con periodontitis. Una extracción de dientes con periodontitis se lleva a cabo cuando la patología periodontal ha dañado de forma nociva una pieza dental, causando una necrosis del tejido pulpar. En la mayoría de los casos, un. WebHay varias razones por las que las personas se extraen dientes: Una infección profunda en un diente (absceso) Dientes aglomerados o dientes colocados incorrectamente;. WebLa relación de los dientes inferiores con un nervio de la mandíbula que le da sensibilidad a la mandíbula, los dientes inferiores, el labio inferior y el mentón. Este nervio se llama.
WebCausas. La periodontitis ocurre cuando se presenta inflamación o la infección de las encías ( gingivitis) y no es tratada. La infección e inflamación se diseminan desde las encías. WebExtracción dental por periodontitis. Una extracción dental se lleva a cabo en ciertos casos cuando la enfermedad periodontal aflojó o daño severamente a una.
Notas de Odontología: Colocación de implantes post-extracción en diente 11
Source: notasdeodontologia.blogspot.com
UN DIENTE PERMANENTE AVULSIONADO, ¿QUÉ HACER? – Clinica Dental Erica Franco
Source: clinicadentalericafranco.com
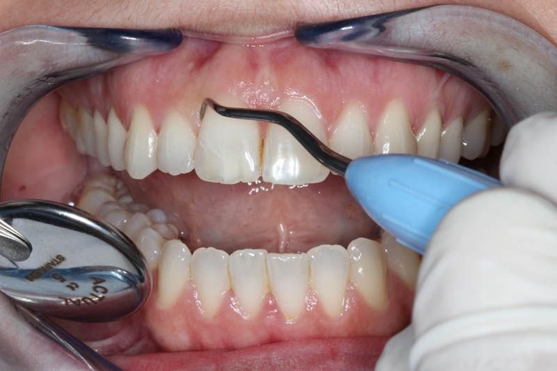
WebDebemos analizar los factores que son determinantes para perder dientes con patología periodontal. De acuerdo a la evidencia científica estos son: 1.Mala higiene. WebLas indicaciones para la extracción de los dientes con periodontitis: en el caso en el bolsillo periodontal es suficientemente grande y supera el tamaño de 6 mm; si los dientes tienen. WebDurante los últimos años, varios estudios han constatado que la enfermedad periodontal, en concreto, la gingivitis, es habitual en aquellas personas con artritis y viceversa.. WebLa periodontitis es una enfermedad oral inflamatoria crónica que destruye progresivamente el aparato de soporte dental. En general, se manifiesta con empeoramiento de una. Webque, para los dientes con periodontitis apical y un buen pronóstico periodontal, incluso la cirugía apical está justificada y debe intentarse en lugar de contemplar la extracción y el.
WebCuando tenemos los dientes sanos y comienzan ha sangrar las encías es el primer síntoma de la enfermedad periodontal. Si esto se produce frecuentemente, la. WebEl diseño de nuevas técnicas de regeneración periodontal con la aplicación de nuevos materiales y diseños de colgajo cada vez menos invasivos permite tratar casos cada vez. WebPeriodontitis avanzada: la pérdida de los tejidos que sostienen los dientes puede generar movilidad de las piezas dentarias y la necesidad de extraerlas. Apiñamiento dental:.
Webque, para los dientes con periodontitis apical y un buen pronóstico periodontal, incluso la cirugía apical está justificada y debe intentarse en lugar de contemplar la extracción y el. WebEl objetivo del tratamiento de la periodontitis es limpiar exhaustivamente las bolsas alrededor de los dientes y prevenir daños en el hueso que las rodea. Las mejores.