Novedades y Muebles | Varios tipos de noticias y varias reseñas
Dolor Despues De Implante Dental, , , , , , , 0, Dolor en implantes dentales - Clínica Dental Barcelona, www.clinicadentalbarcelona.com, 1000 x 617, png, WebEstas son las causas principales del dolor en implantes dentales: El tornillo del implante dental se ha aflojado durante la cicatrización y causa dolor. Representa una complicación de los implantes dentales y es importante acudir al especialista para. WebEl dolor postoperatorio, el que podemos notar una vez desaparece el efecto del anestésico, es muy individual y subjetivo. Depende de factores como la experiencia previa del dolor,., 20, dolor-despues-de-implante-dental, Novedades y Muebles WebEstas son las causas principales del dolor en implantes dentales: El tornillo del implante dental se ha aflojado durante la cicatrización y causa dolor. Representa una complicación de los implantes dentales y es importante acudir al especialista para. WebEl dolor postoperatorio, el que podemos notar una vez desaparece el efecto del anestésico, es muy individual y subjetivo. Depende de factores como la experiencia previa del dolor,.
¿Cuando fracasa un implante dental, qué hacemos? - Nart Clínica Dental
Source: www.nartclinicadental.com
10 CAUSAS DE RECHAZO EN LOS IMPLANTES DENTALES. - Clínica Alonso
Source: www.alonsoesteticadental.com
¿Tendré dolor si recurro a los implantes dentales? - Laboden Gallardo
Source: www.labodengallardo.com
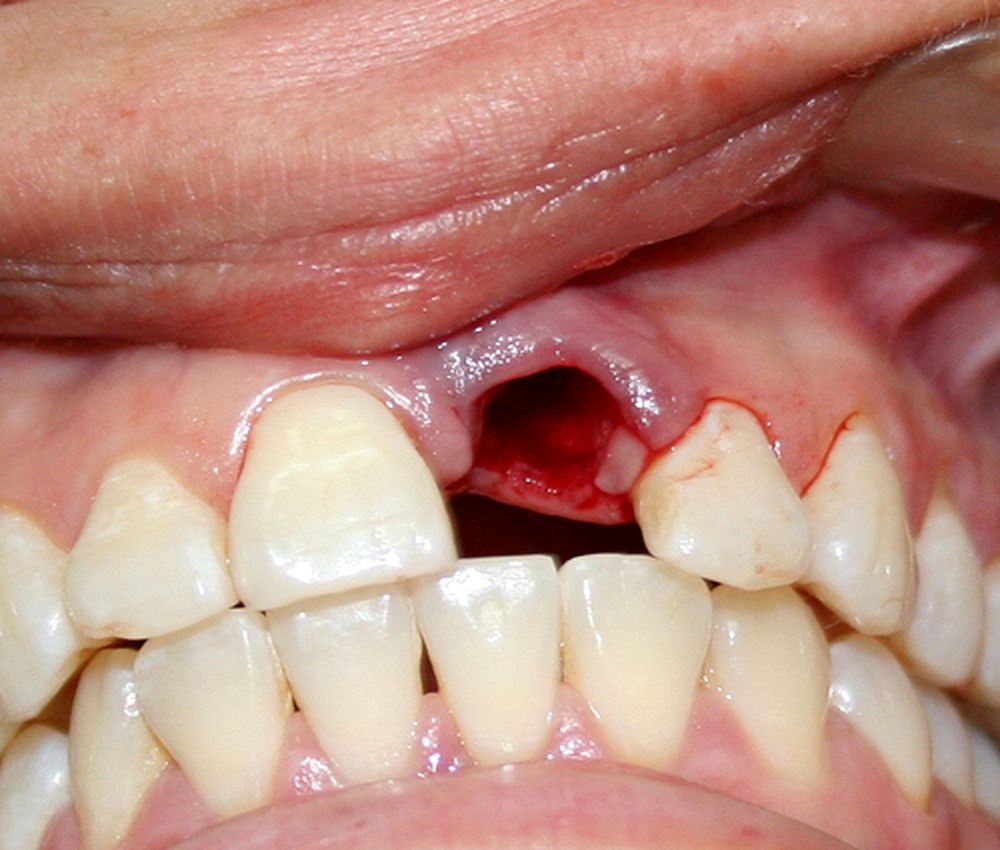
Notas de Odontología: Colocación de implantes post-extracción en diente 11
Source: notasdeodontologia.blogspot.com
WebLos implantes dentales son puestos con la ayuda de un microscopio. Así, las heridas son mínimas y dentro del postoperatorio se producen molestias muy leves que como mucho. WebUn Implante Dental es una estructura artificial que se coloca en el hueso maxilar o mandibular y que sirve como anclaje para sostener una Prótesis Dental.. WebLo cierto es que los implantes no tienen por qué ocasionar dolores de cabeza durante la fase postoperatoria. No obstante, durante los primeros días tras su. WebImplantación dental: ¿el dolor pasará o las complicaciones serán graves? Al principio, la incomodidad después del procedimiento se considera normal, pero esto. Web¿Cómo aliviar el dolor después de un implante dental? Durante las horas inmediatamente posteriores a la cirugía es recomendable aplicar hielo a intervalos regulares sobre la. WebConozcamos las principales causas del dolor en implantes dentales: El tornillo del implante dental está flojo: puede ocurrir que el tornillo que está dentro del.
WebEl paciente no tiene que notar nada durante su colocación y las molestias posteriores a la cirugía son mínimas. El dolor es una de las principales preocupaciones. WebPara prevenir el dolor tras la colocación de un implante dental, es importante usar técnicas de microcirugía para causar el menor trauma al paciente y luego, recomendar unas.
WebConozcamos las principales causas del dolor en implantes dentales: El tornillo del implante dental está flojo: puede ocurrir que el tornillo que está dentro del. WebDespués de saber si provoca dolor un implante dental, estaría bien saber cuánto tiempo dura. Generalmente, la mayoría de síntomas como el dolor y la.