Novedades y Muebles | Varios tipos de noticias y varias reseñas

Como Se Instalan Las Carillas Dentales

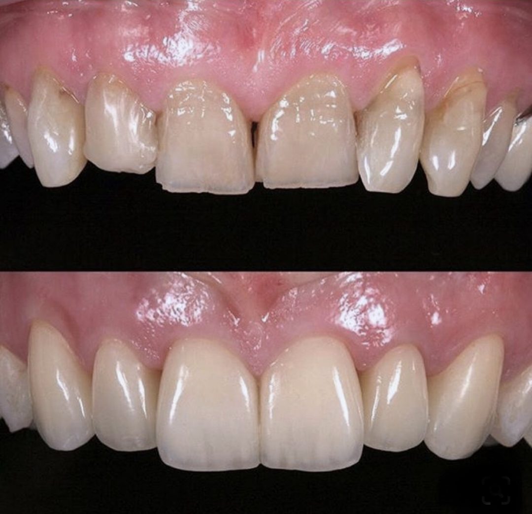
Como Se Instalan Las Carillas Dentales, , , , , , , 0, Carillas dentales Precio | True Doctors, www.truedoctors.com, 2896 x 2600, jpeg, WebEl proceso de cómo se ponen las carillas dentales de porcelana o de cerámica es parecido al anterior. Previamente a la colocación se recogen los datos. Web¿Cómo se colocan las carillas dentales? Independientemente del material, la colocación de carillas dentales es prácticamente la misma siempre. En primer lugar,., 20, como-se-instalan-las-carillas-dentales, Novedades y Muebles WebEl proceso de cómo se ponen las carillas dentales de porcelana o de cerámica es parecido al anterior. Previamente a la colocación se recogen los datos. Web¿Cómo se colocan las carillas dentales? Independientemente del material, la colocación de carillas dentales es prácticamente la misma siempre. En primer lugar,.

WebSe aísla el espacio de trabajo para mejorar la adhesión entre la carilla y el diente. Se adhieren las carillas con productos duraderos. Finalmente se comprueba. WebPara colocar las carillas de porcelana se prepara primeramente el diente, tallando su superficie lo mínimo y necesario para que se adhieran correctamente las.

Como Se Instalan Las Carillas Dentales

WebSe envían todos los registros al laboratorio para que pueda confeccionar las carillas. 2. Segunda sesión: anestesia (si necesario), remoción de provisionales, prueba. WebResumiendo, para saber cómo se ponen las carillas dentales, hay que diferenciar dos procedimientos distintos: el proceso de colocación de carillas de porcelana y el de. WebPara preparar los dientes, el dentista generalmente retira una pequeña cantidad de esmalte de la parte frontal y los lados de los dientes. Esto deja espacio para las carillas para que.

WebA modo de recordatorio, las carillas son unas finas láminas que pueden estar hechas en diferentes materiales como el composite o la cerámica y se colocan en. WebEl dentista o asistente dental construirá un conjunto de carillas temporales hechas de un material acrílico que se cementará sobre sus dientes con un cemento temporal.. WebLas envía al laboratorio donde se fabrican y luego coloca las carillas en las piezas dentales afectadas. Para ello tiene que limar los dientes, lo que puede provocar.

WebPara preparar los dientes, el dentista generalmente retira una pequeña cantidad de esmalte de la parte frontal y los lados de los dientes. Esto deja espacio para las carillas para que. WebSe aplica un tipo de adhesivo especial y se coloca una por una las carillas dentales en cada diente y se fijan para que no se puedan desprender. Es un tratamiento muy sencillo,.

close