Novedades y Muebles | Varios tipos de noticias y varias reseñas
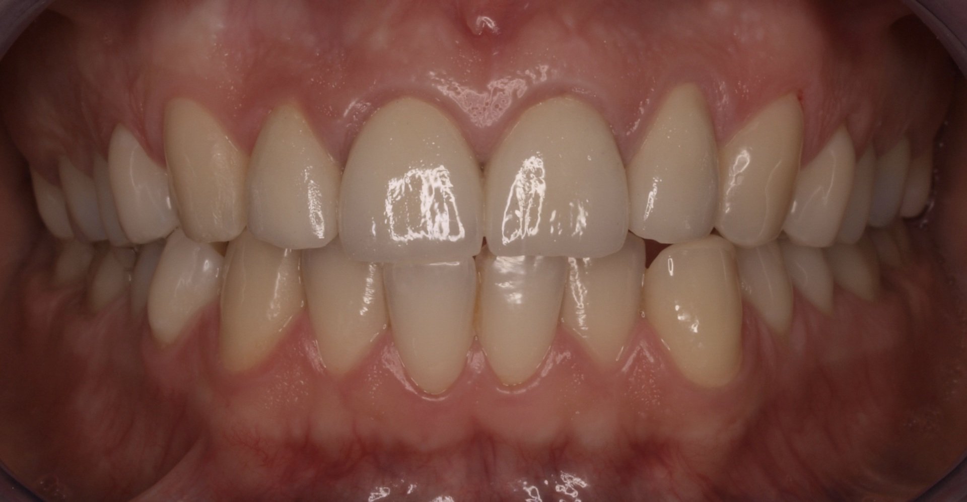
Carillas Composite Antes Y Después, Carillas Dentales de Composite [Antes y Después de David Lafuente] - Clínicas Diego de León, 2.7 MB, 01:58, 21,445, Clínicas Diego de León, 2019-02-22T11:58:30.000000Z, 3, Precio Carillas de Composite en Barcelona, Madrid y Badalona | Carillas, www.pinterest.es, 1024 x 1024, jpeg, WebCarillas de composite antes y después. Las carillas de composite también tienen una gran demanda y los resultados son muy estéticos y naturales. Si. , 20, carillas-composite-antes-y-despues, Novedades y Muebles WebCarillas de composite antes y después. Las carillas de composite también tienen una gran demanda y los resultados son muy estéticos y naturales. Si.
WebAntes ya mencionábamos que las carillas de porcelana son más caras que las de composite, debido a su material y su duración. En España, el precio de una carilla.
Cambio de carillas dentales antiguas de composite por Porcelana - Caso
Source: www.clinicamanzanera.com
Carillas Dentales Barcelona: Tipos y Resultados | Clínica Dental Puyuelo
Source: www.clinicapuyuelo.es
Source: www.pinterest.com
WebCarillas dentales antes y despues: 6 casos reales. Contáctanos. Hace casi un siglo, el efecto del antes y después de las carillas solo se veían en la pantalla, donde. WebLas carillas de composite en Málaga pueden ser consideradas baratas desde los 100 euros hasta los 120 euros por cada pieza, y un precio de reparación de 35 euro en caso de. WebEl composite es un material que tiende a teñirse con el paso del tiempo y con el consumo de alimentos o bebidas que tienen mucha coloración. Tener carillas dentales. WebCarillas de composite a mano alzada, antes y después. 2,931 views. Apr 6, 2021. 50 Dislike Share Save. Odontomix. 41 subscribers. Caso de paciente femenina que acude a. WebCarillas Dentales: https://goo.gl/y41SRhDavid Lafuente corrige un defecto en un diente que no le gustaba con #carillas #dentales. No te pierdas su antes y de...
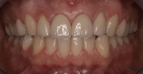
WebLas carillas dentales consisten en una prótesis de porcelana o composite que va adherida de manera fija a la zona interior del diente para así reparar el color, el posicionamiento. WebLas carillas de composite proporcionan un buen resultado estético pero son menos duraderas que la porcelana. Se recomienda en dos casos: cuando el paciente es muy.
WebCarillas de composite a mano alzada, antes y después. 2,931 views. Apr 6, 2021. 50 Dislike Share Save. Odontomix. 41 subscribers. Caso de paciente femenina que acude a. WebCarillas Dentales: https://goo.gl/y41SRhDavid Lafuente corrige un defecto en un diente que no le gustaba con #carillas #dentales. No te pierdas su antes y de... WebLa técnica directa de carillas dentales composite se puede usar siempre y cuando no existan problemas de oclusión o enfermedad periodontal , también es el tipo de carillas.